免费电话:400-9961-933
邮箱:info@sabbiotech.com
欢迎光临本站
川博智能体 English
位置: 首页 > 多克隆抗体 > MMP2 Antibody

MMP2 Antibody #33114

是否有货: 有货
产品详情

产品名称MMP2 Antibody

来源种属Rabbit

克隆性Polyclonal

亚型IgG

纯化Affinity purification

应用WB,IHC,IF

种属反应性Human;Mouse;Rat

特异性The antibody detects endogenous level of total MMP2 protein.

免疫原类型Recombinant Protein

免疫原描述Recombinant fusion protein of human MMP2 (NP_004521.1).

基因/蛋白名称MMP2

标记Unconjugated

别名CLG4;CLG4A;MMP-2;MMP-II;MONA;TBE-1;MMP2

数据库入口号Uniprot:P08253
GeneID:4313

Uniprot P08253

Gene ID 4313

实际分子量72KDa

浓度1.0mg/ml

配方PBS with 0.02% sodium azide,50% glycerol,pH7.3.

保存Store at -20˚C. Avoid freeze / thaw cycles.

应用详情
WB 1:500 - 1:2000
IHC 1:50 - 1:200
IF 1:50 - 1:200
Western blot analysis of extracts of various cell lines, using MMP2 antibody.
Western blot analysis of extracts of various cell lines, using MMP2 antibody.
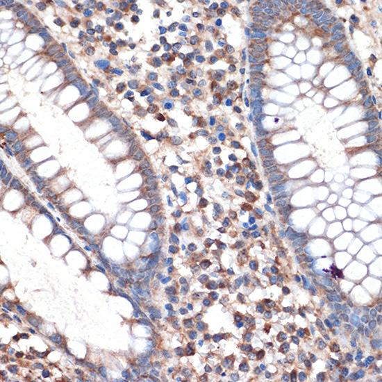
Immunohistochemistry of paraffin-embedded human appendix using MMP2 antibody.
Immunofluorescence analysis of NIH/3T3 cells using MMP2 antibody.
Immunofluorescence analysis of PC-12 cells using MMP2 antibody.
This gene is a member of the matrix metalloproteinase (MMP) gene family, that are zinc-dependent enzymes capable of cleaving components of the extracellular matrix and molecules involved in signal transduction. The protein encoded by this gene is a gelatinase A, type IV collagenase, that contains three fibronectin type II repeats in its catalytic site that allow binding of denatured type IV and V collagen and elastin. Unlike most MMP family members, activation of this protein can occur on the cell membrane. This enzyme can be activated extracellularly by proteases, or, intracellulary by its S-glutathiolation with no requirement for proteolytical removal of the pro-domain. This protein is thought to be involved in multiple pathways including roles in the nervous system, endometrial menstrual breakdown, regulation of vascularization, and metastasis. Mutations in this gene have been associated with Winchester syndrome and Nodulosis-Arthropathy-Osteolysis (NAO) syndrome. Alternative splicing results in multiple transcript variants encoding different isoforms.

如果您使用该产品33114发表了文章,请通知我们,让我们可以引用您的文献。

et al,Long non-codIng RNA PVT1 promotes tumor progression by regulatIng the miR-143/HK2 axis In gallbladder cancer.In Mol Cancer on 2019 Mar 2 by Chen J, Yu Y, et al.. PMID: 30825877 , (2019),
PMID: 30825877
et al,A thiazole-derived oridonIn analogue exhibits antitumor activity by directly and allosterically InhibitIng STAT3. In J Biol Chem on 2019 Nov 15;by Shen X, Zhao L,et al..PMID:31594861 , (2019),
PMID: 31594861

注释

应用

  • WB免疫印迹
  • IHC免疫组化
  • IF免疫荧光
  • ICC免疫细胞化学
  • FC流式细胞
  • IP免疫沉淀
  • E酶联免疫吸附法
  • DB免疫斑点法
  • ChIP染色质免疫沉淀
  • GICA胶体金免疫层析法
  • NC阴性对照

种属反应性

  • Hu
  • Ms小鼠
  • Rt大鼠
  • Dm果蝇
  • C线虫
  • Mk
  • Rb
  • B
  • D
  • P
  • Hm仓鼠
  • ChHm中国仓鼠
  • Chk
;

联系我们

Location :

南京市高新开发区星火路10号人才大厦C座

Phone :

400-9961-933
025-58868422

Email Address

info@sabbiotech.com