免费电话:400-9961-933
邮箱:info@sabbiotech.com
欢迎光临本站
川博智能体 English
位置: 首页 > 多克隆抗体 > p90 RSK Antibody

p90 RSK Antibody #33139

是否有货: 有货
产品详情

产品名称p90 RSK Antibody

来源种属Rabbit

克隆性Polyclonal

纯化The antibody was affinity-purified from rabbit antiserum by affinity-chromatography using epitope-specific immunogen.

应用WB IHC

种属反应性Human;Mouse;Rat

特异性The antibody detects endogenous levels of total p90 RSK protein.

免疫原类型Peptide

免疫原描述Synthesized non-phosphopeptide derived from human p90 RSK around the phosphorylation site of threonine 573 (L-M-T(p)-P-C).

基因/蛋白名称p90 RSK

标记Unconjugated

别名90 kDa ribosomal protein S6 kinase 1; EC 2.7.11.1; KS6A1; MAPKAP-K1a; RPS6KA1

数据库入口号Swiss-Prot: Q15418
NCBI Gene ID: 6195

Uniprot Q15418

实际分子量80kd

浓度1.0mg/ml

配方Rabbit IgG in phosphate buffered saline (without Mg2+ and Ca2+), pH 7.4, 150mM NaCl, 0.02% sodium azide and 50% glycerol.

保存Store at -20˚C

应用详情
Western blotting: 1:500~1:3000
Immunohistochemistry: 1:50~1:100
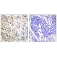
Immunohistochemistry analysis of paraffin-embedded human colon carcinoma tissue using p90 RSK (Ab-573) antibody #33139.
Western blot analysis of extracts from 3T3 cells, treated with PMA (125ng/ml, 30mins), using p90 RSK (Ab-573) antibody #33139.
Western blot analysis of extracts from 293 cells (Lane 2), using p90 RSK (Ab-573) antiobdy #33139. The lane on the left is treated with synthesized peptide.
Serine/threonine-protein kinase that acts downstream of ERK (MAPK1/ERK2 and MAPK3/ERK1) signaling and mediates mitogenic and stress-induced activation of the transcription factors CREB1, ETV1/ER81 and NR4A1/NUR77, regulates translation through RPS6 and EIF4B phosphorylation, and mediates cellular proliferation, survival, and differentiation by modulating mTOR signaling and repressing pro-apoptotic function of BAD and DAPK1. In fibroblast, is required for EGF-stimulated phosphorylation of CREB1, which results in the subsequent transcriptional activation of several immediate-early genes. In response to mitogenic stimulation (EGF and PMA), phosphorylates and activates NR4A1/NUR77 and ETV1/ER81 transcription factors and the cofactor CREBBP. Upon insulin-derived signal, acts indirectly on the transcription regulation of several genes by phosphorylating GSK3B at 'Ser-9' and inhibiting its activity. Phosphorylates RPS6 in response to serum or EGF via an mTOR-independent mechanism and promotes translation initiation by facilitating assembly of the preinitiation complex. In response to insulin, phosphorylates EIF4B, enhancing EIF4B affinity for the EIF3 complex and stimulating cap-dependent translation. Is involved in the mTOR nutrient-sensing pathway by directly phosphorylating TSC2 at 'Ser-1798', which potently inhibits TSC2 ability to suppress mTOR signaling, and mediates phosphorylation of RPTOR, which regulates mTORC1 activity and may promote rapamycin-sensitive signaling independently of the PI3K/AKT pathway. Mediates cell survival by phosphorylating the pro-apoptotic proteins BAD and DAPK1 and suppressing their pro-apoptotic function. Promotes the survival of hepatic stellate cells by phosphorylating CEBPB in response to the hepatotoxin carbon tetrachloride (CCl4). Is involved in cell cycle regulation by phosphorylating the CDK inhibitor CDKN1B, which promotes CDKN1B association with 14-3-3 proteins and prevents its translocation to the nucleus and inhibition of G1 progression.

Moller D.E., Am. J. Physiol. 266:C351-C359(1994).
Gregory S.G., Nature 441:315-321(2006).
The MGC Project Team, Genome Res. 14:2121-2127(2004).

如果您使用该产品33139发表了文章,请通知我们,让我们可以引用您的文献。

et al,Response of MAPK pathway to iron oxide nanoparticles in vitro treatment promotes osteogenic differentiation of hBMSCs.In Biomaterials.On 2016 Apr by Wang Q, Chen B et al..PMID:26874888 , (2016),
PMID: 26874888

注释

应用

  • WB免疫印迹
  • IHC免疫组化
  • IF免疫荧光
  • ICC免疫细胞化学
  • FC流式细胞
  • IP免疫沉淀
  • E酶联免疫吸附法
  • DB免疫斑点法
  • ChIP染色质免疫沉淀
  • GICA胶体金免疫层析法
  • NC阴性对照

种属反应性

  • Hu
  • Ms小鼠
  • Rt大鼠
  • Dm果蝇
  • C线虫
  • Mk
  • Rb
  • B
  • D
  • P
  • Hm仓鼠
  • ChHm中国仓鼠
  • Chk
;

联系我们

Location :

南京市高新开发区星火路10号人才大厦C座

Phone :

400-9961-933
025-58868422

Email Address

info@sabbiotech.com