免费电话:400-9961-933
邮箱:info@sabbiotech.com
欢迎光临本站
川博智能体 English
位置: 首页 > 多克隆抗体 > Collagen III Antibody

Collagen III Antibody #33341

是否有货: 有货
产品详情

产品名称Collagen III Antibody

来源种属Rabbit

克隆性Polyclonal

纯化The antibody was affinity-purified from rabbit antiserum by affinity-chromatography using epitope-specific immunogen.

应用WB IHC IF

种属反应性Human;Mouse;Rat

特异性The antibody detects endogenous levels of total collagen III protein.

免疫原类型Peptide

免疫原描述Synthesized peptide derived from internal of human collagen III.

基因/蛋白名称Collagen III

标记Unconjugated

别名Collagen alpha 1; Collagen alpha 1(III) chain [Precursor];

数据库入口号Swiss-Prot: P02461
NCBI Gene ID: 1281

Uniprot P02461

实际分子量138kd

浓度1.0mg/ml

配方Rabbit IgG in phosphate buffered saline (without Mg2+ and Ca2+), pH 7.4, 150mM NaCl, 0.02% sodium azide and 50% glycerol.

保存Store at -20˚C

应用详情

Western blotting: 1:500~1:1000
Immunohistochemistry: 1:50~1:100
Immunofluorescence: 1:100~1:500

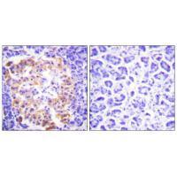
Immunohistochemistry analysis of paraffin-embedded human pancreas tissue, using Collagen III antibody #33341.
Immunofluorescence analysis of HeLa cells, using Collagen III antibody #33341.
Western blot analysis of extracts from Hela, using Collagen III Antibody.,The lane on the left was treated with the antigen-specific peptide.

Collagen type III occurs in most soft connective tissues along with type I collagen. Involved in regulation of cortical development. Is the major ligand of GPR56 in the developing brain and binding to GPR56 inhibits neuronal migration and activates the RhoA pathway by coupling GPR56 to GNA13 and possibly GNA12.

Arja Lamberg, J. Biol. Chem., May 1996; 271: 11988.
GW Conrad, J. Cell Biol., Mar 1980; 84: 501.
DR Keene, J. Cell Biol., Nov 1987; 105: 2393.
HM Wang, J. Histochem. Cytochem., Nov 1980; 28: 1215.

如果您使用该产品33341发表了文章,请通知我们,让我们可以引用您的文献。

et al,Enhancing auricular reconstruction: A biomimetic scaffold with 3D-printed multiscale porous structure utilizing chondrogenic activity ink. , (2025),
PMID: 39968521

注释

应用

  • WB免疫印迹
  • IHC免疫组化
  • IF免疫荧光
  • ICC免疫细胞化学
  • FC流式细胞
  • IP免疫沉淀
  • E酶联免疫吸附法
  • DB免疫斑点法
  • ChIP染色质免疫沉淀
  • GICA胶体金免疫层析法
  • NC阴性对照

种属反应性

  • Hu
  • Ms小鼠
  • Rt大鼠
  • Dm果蝇
  • C线虫
  • Mk
  • Rb
  • B
  • D
  • P
  • Hm仓鼠
  • ChHm中国仓鼠
  • Chk
;

联系我们

Location :

南京市高新开发区星火路10号人才大厦C座

Phone :

400-9961-933
025-58868422

Email Address

info@sabbiotech.com