免费电话:400-9961-933
邮箱:info@sabbiotech.com
欢迎光临本站
川博智能体 English
位置: 首页 > 多克隆抗体 > Cyclin E1 Antibody

Cyclin E1 Antibody #33351

是否有货: 有货
产品详情

产品名称Cyclin E1 Antibody

来源种属Rabbit

克隆性Polyclonal

纯化The antibody was affinity-purified from rabbit antiserum by affinity-chromatography using epitope-specific immunogen.

应用WB IHC IF

种属反应性Human;Mouse;Rat

特异性The antibody detects endogenous levels of total Cyclin E1 protein.

免疫原类型Peptide

免疫原描述Synthesized peptide derived from human Cyclin E1.

基因/蛋白名称Cyclin E1

标记Unconjugated

别名cyclin E1; cyclin E1 isoform 1; cyclin E1 isoform 2; cyclin Es; cyclin Et

数据库入口号Swiss-Prot: P24864
NCBI Gene ID: 898

Uniprot P24864

实际分子量49kd

浓度1.0mg/ml

配方Rabbit IgG in phosphate buffered saline (without Mg2+ and Ca2+), pH 7.4, 150mM NaCl, 0.02% sodium azide and 50% glycerol.

保存Store at -20˚C

应用详情
Western blotting: 1:500~1:3000
Immunohistochemistry: 1:50~1:100
Immunofluorescence: 1:100~1:500
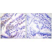
Immunohistochemical analysis of paraffin-embedded human lung carcinoma tissue using Cyclin E1 antibody #33351.
Immunofluorescence analysis of A549 cells, using Cyclin E1 antibody #33351.
Western blot analysis of extracts from K562 cells, using Cyclin E1 antibody #33351.
Western blot analysis of extracts from A549 cells (Lane 2), using Cyclin E1 antiobdy #33351. The lane on the left is treated with systhesized peptide.
Essential for the control of the cell cycle at the G1/S (start) transition.

Charles Spruck, Cancer Res., Jul 2006; 66: 7355 - 7360.
Nathalie Cueille, J. Virol., Sep 1998; 72: 7255 - 7262.
Wentao Deng, J. Virol., Dec 2004; 78: 13954 - 13965.
Tianlin Ma, PNAS, Jan 1999; 96: 382.

如果您使用该产品33351发表了文章,请通知我们,让我们可以引用您的文献。

et al,CD155 Cooperates with PD-1/PD-L1 to Promote Proliferation of Esophageal Squamous Cancer Cells via PI3K/Akt and MAPK Signaling Pathways. In Cancers (Basel) on 2022 Nov 15 by Xiyang Tan, Jie Yang, et al..PMID:36428703 , (2022),
PMID: 36428703

注释

应用

  • WB免疫印迹
  • IHC免疫组化
  • IF免疫荧光
  • ICC免疫细胞化学
  • FC流式细胞
  • IP免疫沉淀
  • E酶联免疫吸附法
  • DB免疫斑点法
  • ChIP染色质免疫沉淀
  • GICA胶体金免疫层析法
  • NC阴性对照

种属反应性

  • Hu
  • Ms小鼠
  • Rt大鼠
  • Dm果蝇
  • C线虫
  • Mk
  • Rb
  • B
  • D
  • P
  • Hm仓鼠
  • ChHm中国仓鼠
  • Chk
;

联系我们

Location :

南京市高新开发区星火路10号人才大厦C座

Phone :

400-9961-933
025-58868422

Email Address

info@sabbiotech.com