免费电话:400-9961-933
邮箱:info@sabbiotech.com
欢迎光临本站
川博智能体 English
位置: 首页 > 多克隆抗体 > p18 INK Antibody

p18 INK Antibody #33458

是否有货: 有货
产品详情

产品名称p18 INK Antibody

来源种属Rabbit

克隆性Polyclonal

纯化The antibody was affinity-purified from rabbit antiserum by affinity-chromatography using epitope-specific immunogen.

应用WB IHC

种属反应性Human;Mouse;Rat

特异性The antibody detects endogenous levels of total p18 INK protein.

免疫原类型Peptide

免疫原描述Synthesized peptide derived from human p18 INK antibody.

基因/蛋白名称p18 INK

标记Unconjugated

别名OTTHUMP00000046546; p18(INK4C); p18-INK4C; CDK6 inhibitor p18; cyclin-dependent inhibitor

数据库入口号Swiss-Prot: P42773
NCBI Gene ID: 1031

Uniprot P42773

实际分子量18kd

浓度1.0mg/ml

配方Rabbit IgG in phosphate buffered saline (without Mg2+ and Ca2+), pH 7.4, 150mM NaCl, 0.02% sodium azide and 50% glycerol.

保存Store at -20˚C

应用详情
Western blotting: 1:500~1:3000
Immunohistochemistry: 1:50~1:100
Western blot analysis of extracts from COS7 cells, using p18 INK antibody #33458.
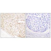
Immunohistochemical analysis of paraffin-embedded human breast carcinoma tissue using p18 INK antibody #33458.
Interacts strongly with CDK6, weakly with CDK4. Inhibits cell growth and proliferation with a correlated dependence on endogenous retinoblastoma protein RB.

Youzhong Yuan, Cancer Res., Jan 2006; 66: 343 - 351.
A. Koenig, Vet. Pathol., Jul 2002; 39: 458.
Pei-Fang Hung, Am J Physiol Cell Physiol, May 2005; 288: C1094 - C1108.
Mana Mirjany, J. Pharmacol. Exp. Ther., May 2002; 301: 494.

如果您使用该产品33458发表了文章,请通知我们,让我们可以引用您的文献。

et al,analysis: an analysis based on the European spontaneous adverse event reporting system , (2025),
PMID: 39877384

注释

应用

  • WB免疫印迹
  • IHC免疫组化
  • IF免疫荧光
  • ICC免疫细胞化学
  • FC流式细胞
  • IP免疫沉淀
  • E酶联免疫吸附法
  • DB免疫斑点法
  • ChIP染色质免疫沉淀
  • GICA胶体金免疫层析法
  • NC阴性对照

种属反应性

  • Hu
  • Ms小鼠
  • Rt大鼠
  • Dm果蝇
  • C线虫
  • Mk
  • Rb
  • B
  • D
  • P
  • Hm仓鼠
  • ChHm中国仓鼠
  • Chk
;

联系我们

Location :

南京市高新开发区星火路10号人才大厦C座

Phone :

400-9961-933
025-58868422

Email Address

info@sabbiotech.com