免费电话:400-9961-933
邮箱:info@sabbiotech.com
欢迎光临本站
川博智能体 English
位置: 首页 > 多克隆抗体 > LAMA5 Antibody

LAMA5 Antibody #34275

是否有货: 有货
产品详情

产品名称LAMA5 Antibody

来源种属Rabbit

克隆性Polyclonal

纯化The antibody was affinity-purified from rabbit antiserum by affinity-chromatography using epitope-specific immunogen.

应用WB;IHC;IF

种属反应性Human;Mouse

特异性The antibody detects endogenous levels of LAMA5 protein.

免疫原类型Peptide

免疫原描述The antiserum was produced against synthesized peptide derived from human LAMA5.

基因/蛋白名称LAMA5

标记Unconjugated

别名 Laminin subunit alpha-5; KIAA0533; KIAA1907;

数据库入口号Swiss-Prot: O15230
NCBI Gene ID: 3911

Uniprot O15230

实际分子量400kd

浓度1.0mg/ml

配方Liquid in PBS containing 50% glycerol, 0.5% BSA and 0.02% sodium azide.

保存Store at -20˚C

应用详情

WB 1:500 - 1:2000. IHC: 1:100-300 IF 1:100-300

Western Blot analysis of RAW HepG2 A549 cells
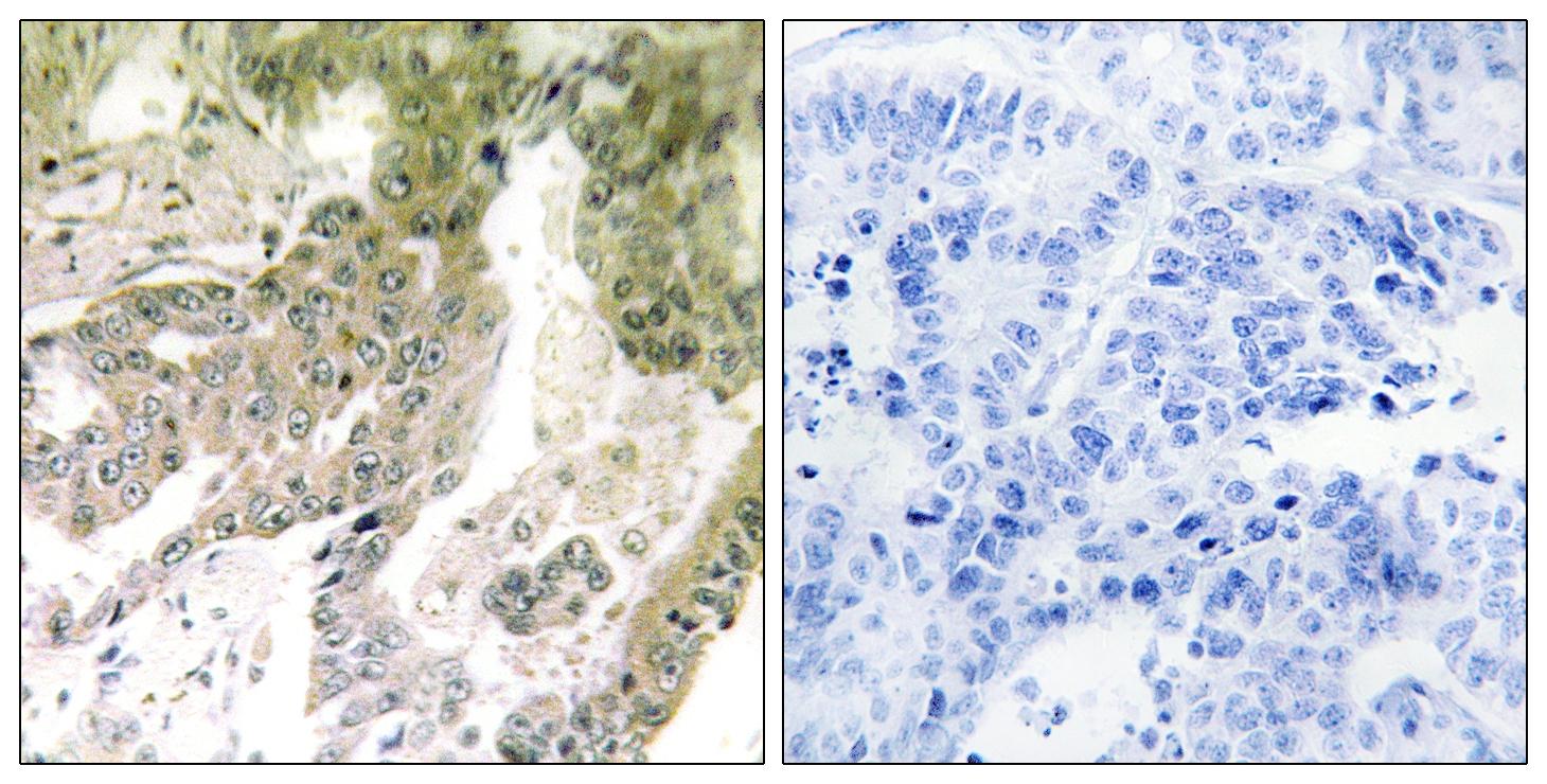
Immunohistochemistry analysis of paraffin-embedded human lung carcinoma tissue, using LAMA5 Antibody. The picture on the right is blocked with the synthesized peptide.
Immunofluorescence analysis of A549. 1,primary Antibody was diluted at 1:200(4°C overnight). 2, Goat Anti Rabbit IgG (H&L) - Alexa Fluor 488 Secondary antibody was diluted at 1:1000(room temperature, 50min).3, Picture B: DAPI(blue) 10min.

This gene encodes one of the vertebrate laminin alpha chains. Laminins, a family of extracellular matrix glycoproteins, are the major noncollagenous constituent of basement membranes. They have been implicated in a wide variety of biological processes including cell adhesion, differentiation, migration, signaling, neurite outgrowth and metastasis. Laminins are composed of 3 non identical chains: laminin alpha, beta and gamma (formerly A, B1, and B2, respectively) and they form a cruciform structure consisting of 3 short arms, each formed by a different chain, and a long arm composed of all 3 chains. Each laminin chain is a multidomain protein encoded by a distinct gene. The protein encoded by this gene is the alpha-5 subunit of of laminin-10 (laminin-511), laminin-11 (laminin-521) and laminin-15 (laminin-523)Binding to cells via a high affinity receptor, laminin is thought to mediate the attachment, migration and organization of cells into tissues during embryonic development by interacting with other extracellular matrix components.

Deloukas P., ure 414:865-871(2001).
Nagase T., DNA Res. 8:179-187(2001).
Nagase T., DNA Res. 5:31-39(1998)

如果您使用该产品34275发表了文章,请通知我们,让我们可以引用您的文献。

et al,Ser252Trp mutation in fibroblast growth factor receptor 2 promotes branching morphogenesis in mouse salivary glands. In J Oral Biosci on 2024 Mar by Daiki Iwata, Kaori Kometani-Gunjigake,et al..PMID:38246420 , (2024),
PMID: 38246420

注释

应用

  • WB免疫印迹
  • IHC免疫组化
  • IF免疫荧光
  • ICC免疫细胞化学
  • FC流式细胞
  • IP免疫沉淀
  • E酶联免疫吸附法
  • DB免疫斑点法
  • ChIP染色质免疫沉淀
  • GICA胶体金免疫层析法
  • NC阴性对照

种属反应性

  • Hu
  • Ms小鼠
  • Rt大鼠
  • Dm果蝇
  • C线虫
  • Mk
  • Rb
  • B
  • D
  • P
  • Hm仓鼠
  • ChHm中国仓鼠
  • Chk
;

联系我们

Location :

南京市高新开发区星火路10号人才大厦C座

Phone :

400-9961-933
025-58868422

Email Address

info@sabbiotech.com