免费电话:400-9961-933
邮箱:info@sabbiotech.com
欢迎光临本站
川博智能体 English
位置: 首页 > 多克隆抗体 > TLR4 Antibody

TLR4 Antibody #35463

是否有货: 有货
产品详情

产品名称TLR4 Antibody

来源种属Rabbit

克隆性Polyclonal

纯化Antibodies were purified by antigen-affinity chromatography.

应用WB IHC

种属反应性Human;Mouse;Rat

特异性The antibody detects endogenous levels of total TLR4 protein.

免疫原类型Recombinant Protein

免疫原描述A synthesized peptide derived from human TLR4

基因/蛋白名称TLR4

标记Unconjugated

别名ARMD10 antibody; CD284 antibody; TOLL antibody; hToll antibody; TLR4 antibody; homolog of Drosophila toll antibody; toll-like receptor 4 antibody

数据库入口号Swiss-Prot#:O00206;
NCBI Gene#:7099

Uniprot O00206

实际分子量96kd

浓度1mg/ml

配方Rabbit IgG in phosphate buffered saline , pH 7.4, 150mM NaCl, 0.02% sodium azide and 50% glycerol.

保存Store at -20˚C

应用详情

Western blotting: 1:500-1:2000
Immunofluorescence: 1:50-1:200

Western blot analysis of TLR4 expression in Hela whole cell lysates,The lane on the left is treated with the antigen-specific peptide.
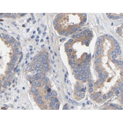
Immunohistochemical analysis of paraffin-embedded human prostate tissue using TLR4 Antibody

The protein encoded by this gene is a member of the Toll-like receptor (TLR) family which plays a fundamental role in pathogen recognition and activation of innate immunity. TLRs are highly conserved from Drosophila to humans and share structural and functional similarities. They recognize pathogen-associated molecular patterns (PAMPs) that are expressed on infectious agents, and mediate the production of cytokines necessary for the development of effective immunity. The various TLRs exhibit different patterns of expression. This receptor is most abundantly expressed in placenta, and in myelomonocytic subpopulation of the leukocytes. It has been implicated in signal transduction events induced by lipopolysaccharide (LPS) found in most gram-negative bacteria. Mutations in this gene have been associated with differences in LPS responsiveness. Also, several transcript variants of this gene have been found, but the protein coding potential of most of them is uncertain. [provided by RefSeq]

如果您使用该产品35463发表了文章,请通知我们,让我们可以引用您的文献。

et al,Prevention of acute kidney injury in a rodent model of cirrhosis following selective gut decontamination is associated with reduced renal TLR4 expression.In J Hepatol on 2012 May by Shah N, Dhar D, et al..PMID:22266601 , (2012),
PMID: 22266601
et al,Vanillin Attenuates Proinflammatory Factors in a tMCAO Mouse Model via Inhibition of TLR4/NF-kB Signaling Pathway. In Neuroscience on 2022 May 21 by Ping Wang, Chunyi Li, et al..PMID: 35276304 , (2022),
PMID: 35276304
et al,Cannabidiol attenuates periodontal inflammation through inhibiting TLR4/NF-κB pathwayInJ Periodontal ResOn2023 AugbyHao Chen?1,?Yaqi Liu et al..PMID:?37143211 , (2023),
PMID: 37143211
et al,Small molecule inhibitor CRT0066101 inhibits cytokine storm syndrome in a mouse model of lung injury In Int ImmunopharmacolOn2023 JulbyBomiao Cui , Yiying Liu et al..PMID:37182445 , (2023),
PMID: 37182445
et al,β-Sitosterol Alleviates Neuropathic Pain by Affect Microglia Polarization through Inhibiting TLR4/NF-κB Signaling PathwayInJ Neuroimmune PharmacolOn2023 DecbyYachun Zheng , Jiaji Zhao et al..PMID:38041701 , (2023),
PMID: 38041701
et al,Prevotella copri promotes vascular calcification via lipopolysaccharide through activation of NF-κB signaling pathway. In Gut Microbes on 2024 Jan-Dec by Qing-Yun Hao, Jing Yan, et al..PMID:38727248 , (2024),
PMID: 38727248
et al,Prevotella copri promotes vascular calcification via lipopolysaccharide through activation of NF-κB signaling pathway , (2024),
PMID:
查看更多
et al,Quercetin Improves Lipopolysaccharide‐Induced Septic Liver Injury by Inhibiting the Activation of ROCK/NF‐κB/NLRP3 Pathway , (2025),
PMID: 40766788
et al,Hsa_circ_0001944 Regulates FXR/TLR4 Pathway and Ferroptosis to Alleviate Nickel Oxide Nanoparticles-Induced Collagen Formation in LX-2 Cells , (2025),
PMID: 40278581

注释

应用

  • WB免疫印迹
  • IHC免疫组化
  • IF免疫荧光
  • ICC免疫细胞化学
  • FC流式细胞
  • IP免疫沉淀
  • E酶联免疫吸附法
  • DB免疫斑点法
  • ChIP染色质免疫沉淀
  • GICA胶体金免疫层析法
  • NC阴性对照

种属反应性

  • Hu
  • Ms小鼠
  • Rt大鼠
  • Dm果蝇
  • C线虫
  • Mk
  • Rb
  • B
  • D
  • P
  • Hm仓鼠
  • ChHm中国仓鼠
  • Chk
;

联系我们

Location :

南京市高新开发区星火路10号人才大厦C座

Phone :

400-9961-933
025-58868422

Email Address

info@sabbiotech.com