免费电话:400-9961-933
邮箱:info@sabbiotech.com
欢迎光临本站
川博智能体 English
位置: 首页 > 多克隆抗体 > KRT18 Antibody

KRT18 Antibody #35624

是否有货: 有货
产品详情

产品名称KRT18 Antibody

来源种属Rabbit

克隆性Polyclonal

纯化Antigen affinity purification.

应用IHC

种属反应性Human

特异性The antibody detects endogenous levels of total KRT18 protein.

免疫原类型Recombinant Protein

免疫原描述Fusion protein corresponding to a region derived from internal residues of human keratin 18

基因/蛋白名称KRT18

标记Unconjugated

别名K18; CYK18

数据库入口号Swiss-Prot#: P05783
NCBI Gene ID: 3875
Gene Accssion: BC000180

Uniprot P05783

浓度2mg/ml

配方Rabbit IgG in pH7.3 PBS, 0.05% NaN3, 50% Glycerol.

保存Store at -20˚C

应用详情
Immunohistochemistry: 1:50-1:200
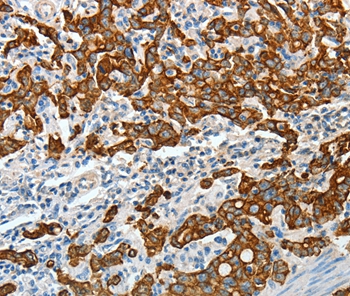
Immunohistochemical analysis of paraffin-embedded Human gastric cancer tissue using #35624 at dilution 1/50.
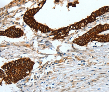
Immunohistochemical analysis of paraffin-embedded Human colon cancer tissue using #35624 at dilution 1/50.
KRT18 encodes the type I intermediate filament chain keratin 18. Keratin 18, together with its filament partner keratin 8, are perhaps the most commonly found members of the intermediate filament gene family. They are expressed in single layer epithelial tissues of the body. Mutations in this gene have been linked to cryptogenic cirrhosis. Two transcript variants encoding the same protein have been found for this gene.

如果您使用该产品35624发表了文章,请通知我们,让我们可以引用您的文献。

et al,Systematic analysis of mRNA expression profiles in NSCLC cell lines to screen metastasis-related genes.In Mol Med Rep.On 2016 Dec by Liu Y, Liu L et al..PMID:27840927 , (2016),
PMID: 27840927

注释

应用

  • WB免疫印迹
  • IHC免疫组化
  • IF免疫荧光
  • ICC免疫细胞化学
  • FC流式细胞
  • IP免疫沉淀
  • E酶联免疫吸附法
  • DB免疫斑点法
  • ChIP染色质免疫沉淀
  • GICA胶体金免疫层析法
  • NC阴性对照

种属反应性

  • Hu
  • Ms小鼠
  • Rt大鼠
  • Dm果蝇
  • C线虫
  • Mk
  • Rb
  • B
  • D
  • P
  • Hm仓鼠
  • ChHm中国仓鼠
  • Chk
;

联系我们

Location :

南京市高新开发区星火路10号人才大厦C座

Phone :

400-9961-933
025-58868422

Email Address

info@sabbiotech.com