免费电话:400-9961-933
邮箱:info@sabbiotech.com
欢迎光临本站
川博智能体 English
位置: 首页 > 多克隆抗体 > KRT23 Antibody

KRT23 Antibody #35632

是否有货: 有货
产品详情

产品名称KRT23 Antibody

来源种属Rabbit

克隆性Polyclonal

纯化Antigen affinity purification.

应用WB IHC

种属反应性Human

特异性The antibody detects endogenous levels of total KRT23 protein.

免疫原类型Recombinant Protein

免疫原描述Fusion protein corresponding to residues near the N terminal of human keratin 23 (histone deacetylase inducible)

基因/蛋白名称KRT23

标记Unconjugated

别名K23; CK23; HAIK1

数据库入口号Swiss-Prot#: Q9C075
NCBI Gene ID: 25984
Gene Accssion: BC028356

Uniprot Q9C075

实际分子量48kd

浓度0.6mg/ml

配方Rabbit IgG in pH7.3 PBS, 0.05% NaN3, 50% Glycerol.

保存Store at -20˚C

应用详情
Western blotting: 1:500-1:2000
Immunohistochemistry: 1:25-1:100
Gel: 10%SDS-PAGE
Lysate: 30ug Hela cell
Primary antibody: 1/300 dilution
Secondary antibody dilution: 1/8000
Exposure time: 20 seconds
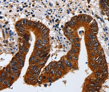
Immunohistochemical analysis of paraffin-embedded Human colon cancer tissue using #35632 at dilution 1/20.
The protein encoded by this gene is a member of the keratin family. The keratins are intermediate filament proteins responsible for the structural integrity of epithelial cells and are subdivided into cytokeratins and hair keratins. The type I cytokeratins consist of acidic proteins which are arranged in pairs of heterotypic keratin chains. The type I cytokeratin genes are clustered in a region of chromosome 17q12-q21.

如果您使用该产品35632发表了文章,请通知我们,让我们可以引用您的文献。

et al,A pyroptosis-related gene signature that predicts immune infiltration and prognosis in colon cancerInFront OncolOn2023 Jul 12byMingjian Wu?1,?Shuai Hao et al..PMID:?37503314 , (2023),
PMID: 37503314

注释

应用

  • WB免疫印迹
  • IHC免疫组化
  • IF免疫荧光
  • ICC免疫细胞化学
  • FC流式细胞
  • IP免疫沉淀
  • E酶联免疫吸附法
  • DB免疫斑点法
  • ChIP染色质免疫沉淀
  • GICA胶体金免疫层析法
  • NC阴性对照

种属反应性

  • Hu
  • Ms小鼠
  • Rt大鼠
  • Dm果蝇
  • C线虫
  • Mk
  • Rb
  • B
  • D
  • P
  • Hm仓鼠
  • ChHm中国仓鼠
  • Chk
;

联系我们

Location :

南京市高新开发区星火路10号人才大厦C座

Phone :

400-9961-933
025-58868422

Email Address

info@sabbiotech.com