免费电话:400-9961-933
邮箱:info@sabbiotech.com
欢迎光临本站
川博智能体 English
位置: 首页 > 多克隆抗体 > CTSE Antibody

CTSE Antibody #35666

是否有货: 有货
产品详情

产品名称CTSE Antibody

来源种属Rabbit

克隆性Polyclonal

纯化Antigen affinity purification.

应用WB IHC

种属反应性Human;Mouse

特异性The antibody detects endogenous levels of total CTSE protein.

免疫原类型Recombinant Protein

免疫原描述Fusion protein corresponding to a region derived from internal residues of human Cathepsin E

基因/蛋白名称CTSE

标记Unconjugated

别名CATE

数据库入口号Swiss-Prot#: P14091
NCBI Gene ID: 1510
Gene Accssion: BC042537

Uniprot P14091

实际分子量43kd

浓度0.28mg/ml

配方Rabbit IgG in pH7.3 PBS, 0.05% NaN3, 50% Glycerol.

保存Store at -20˚C

应用详情
Western blotting: 1:100-1:500
Immunohistochemistry: 1:25-1:100
Gel: 8%SDS-PAGE
Lysates (from left to right): Human stomach cancer tissue
Amount of lysate: 40ug per lane
Primary antibody: 1/140 dilution
Secondary antibody dilution: 1/8000
Exposure time: 30 seconds
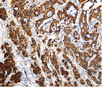
Immunohistochemical analysis of paraffin-embedded Human pancreatic cancer tissue using #35666 at dilution 1/10.
The protein encoded by this gene is a gastric aspartyl protease that functions as a disulfide-linked homodimer. This protease, which is a member of the peptidase C1 family, has a specificity similar to that of pepsin A and cathepsin D. It is an intracellular proteinase that does not appear to be involved in the digestion of dietary protein and is found in highest concentration in the surface of epithelial mucus-producing cells of the stomach. It is the first aspartic proteinase expressed in the fetal stomach and is found in more than half of gastric cancers. It appears, therefore, to be an oncofetal antigen. Transcript variants utilizing alternative polyadenylation signals and two transcript variants encoding different isoforms exist for this gene.

如果您使用该产品35666发表了文章,请通知我们,让我们可以引用您的文献。

et al,Proteomic characterization of gastric cancer response to chemotherapy and targeted therapy reveals potential therapeutic strategies. In Nat Commun on 2022 Nov 8 by Yan Li, Chen Xu, et al..PMID: 36347856 , (2022),
PMID: 36347856

注释

应用

  • WB免疫印迹
  • IHC免疫组化
  • IF免疫荧光
  • ICC免疫细胞化学
  • FC流式细胞
  • IP免疫沉淀
  • E酶联免疫吸附法
  • DB免疫斑点法
  • ChIP染色质免疫沉淀
  • GICA胶体金免疫层析法
  • NC阴性对照

种属反应性

  • Hu
  • Ms小鼠
  • Rt大鼠
  • Dm果蝇
  • C线虫
  • Mk
  • Rb
  • B
  • D
  • P
  • Hm仓鼠
  • ChHm中国仓鼠
  • Chk
;

联系我们

Location :

南京市高新开发区星火路10号人才大厦C座

Phone :

400-9961-933
025-58868422

Email Address

info@sabbiotech.com