免费电话:400-9961-933
邮箱:info@sabbiotech.com
欢迎光临本站
川博智能体 English
位置: 首页 > 多克隆抗体 > CXCL3 Antibody

CXCL3 Antibody #35751

是否有货: 有货
产品详情

产品名称CXCL3 Antibody

来源种属Rabbit

克隆性Polyclonal

纯化Antigen affinity purification.

应用IHC

种属反应性Human

特异性The antibody detects endogenous levels of total CXCL3 protein.

免疫原类型Recombinant Protein

免疫原描述Full length fusion protein

基因/蛋白名称CXCL3

标记Unconjugated

别名GRO3; GROg; MIP2B; SCYB3; MIP-2b; CINC-2b

数据库入口号Swiss-Prot#: P19876
NCBI Gene ID: 2921
Gene Accssion: BC016308

Uniprot P19876

浓度0.9mg/ml

配方Rabbit IgG in pH7.3 PBS, 0.05% NaN3, 50% Glycerol.

保存Store at -20˚C

应用详情

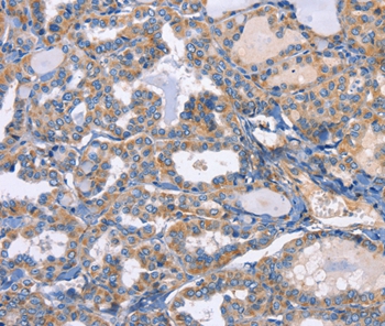
Immunohistochemistry: 1:25-1:100

 

Immunohistochemical analysis of paraffin-embedded Human liver cancer tissue using #35751 at dilution 1/20.
Immunohistochemical analysis of paraffin-embedded Human thyroid cancer tissue using #35751 at dilution 1/20.

Chemokine (C-X-C motif) ligand 3?(CXCL3) is a small?cytokine?belonging to the CXC?chemokine?family that is also known as?GRO3 oncogene?(GRO3),?GRO protein gamma?(GROg) and?macrophage inflammatory protein-2-beta?(MIP2b). CXCL3 controls?migration?and?adhesion?of?monocytes?and mediates its effects on its target cell by interacting with a cell surface?chemokine receptor?called?CXCR2. More recently, it has been shown that Cxcl3 regulates cell autonomously the migration of the precursors of cerebellar granule neurons toward the internal layers of cerebellum, during the morphogenesis of?cerebellum.

如果您使用该产品35751发表了文章,请通知我们,让我们可以引用您的文献。

et al,Diagnostic and prognostic values of C?X?C motif chemokIne ligand 3 In patients with colon cancer. In Oncol Rep on 2019 Nov by Ruan GT, Gong YZ, et al..PMID:31545503 , (2019),
PMID: 31545503

注释

应用

  • WB免疫印迹
  • IHC免疫组化
  • IF免疫荧光
  • ICC免疫细胞化学
  • FC流式细胞
  • IP免疫沉淀
  • E酶联免疫吸附法
  • DB免疫斑点法
  • ChIP染色质免疫沉淀
  • GICA胶体金免疫层析法
  • NC阴性对照

种属反应性

  • Hu
  • Ms小鼠
  • Rt大鼠
  • Dm果蝇
  • C线虫
  • Mk
  • Rb
  • B
  • D
  • P
  • Hm仓鼠
  • ChHm中国仓鼠
  • Chk
;

联系我们

Location :

南京市高新开发区星火路10号人才大厦C座

Phone :

400-9961-933
025-58868422

Email Address

info@sabbiotech.com