免费电话:400-9961-933
邮箱:info@sabbiotech.com
欢迎光临本站
川博智能体 English
位置: 首页 > 多克隆抗体 > SYVN1 Antibody

SYVN1 Antibody #35945

是否有货: 有货
产品详情

产品名称SYVN1 Antibody

来源种属Rabbit

克隆性Polyclonal

纯化Antigen affinity purification.

应用WB IHC

种属反应性Human;Mouse

特异性The antibody detects endogenous levels of total SYVN1 protein.

免疫原类型Recombinant Protein

免疫原描述Fusion protein corresponding to residues near the C terminal of human Synovial apoptosis inhibitor 1, synoviolin

基因/蛋白名称SYVN1

标记Unconjugated

别名DER3; HRD1

数据库入口号Swiss-Prot#: Q86TM6
NCBI Gene ID: 84447
Gene Accssion: BC030530

Uniprot Q86TM6

实际分子量68kd

浓度0.5mg/ml

配方Rabbit IgG in pH7.3 PBS, 0.05% NaN3, 50% Glycerol.

保存Store at -20˚C

应用详情

Western blotting: 1:200-1:1000
Immunohistochemistry: 1:25-1:100

Gel: 8%SDS-PAGE
Lysates (from left to right): Lovo, hela and 293T cell
Amount of lysate: 40ug per lane
Primary antibody: 1/100 dilution
Secondary antibody dilution: 1/8000
Exposure time: 1 minute
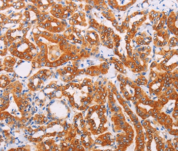
Immunohistochemical analysis of paraffin-embedded Human thyroid cancer tissue using #35945 at dilution 1/10.

This gene encodes a protein involved in endoplasmic reticulum (ER)-associated degradation. The encoded protein removes unfolded proteins, accumulated during ER stress, by retrograde transport to the cytosol from the ER. This protein also uses the ubiquitin-proteasome system for additional degradation of unfolded proteins. Sequence analysis identified two transcript variants that encode different isoforms.

如果您使用该产品35945发表了文章,请通知我们,让我们可以引用您的文献。

et al,Peroxiredoxin 4 deficiency induces accelerated ovarian aging through destroyed proteostasis in granulosa cells. In Biochim Biophys Acta Mol Basis Dis on 2024 Oct by Xiaofei Zou, Xiuru Liang et al..PMID:38971505 , (2024),
PMID: 38971505

注释

应用

  • WB免疫印迹
  • IHC免疫组化
  • IF免疫荧光
  • ICC免疫细胞化学
  • FC流式细胞
  • IP免疫沉淀
  • E酶联免疫吸附法
  • DB免疫斑点法
  • ChIP染色质免疫沉淀
  • GICA胶体金免疫层析法
  • NC阴性对照

种属反应性

  • Hu
  • Ms小鼠
  • Rt大鼠
  • Dm果蝇
  • C线虫
  • Mk
  • Rb
  • B
  • D
  • P
  • Hm仓鼠
  • ChHm中国仓鼠
  • Chk
;

联系我们

Location :

南京市高新开发区星火路10号人才大厦C座

Phone :

400-9961-933
025-58868422

Email Address

info@sabbiotech.com