免费电话:400-9961-933
邮箱:info@sabbiotech.com
欢迎光临本站
川博智能体 English
位置: 首页 > 多克隆抗体 > MAP4K3 Antibody

MAP4K3 Antibody #35951

是否有货: 有货
产品详情

产品名称MAP4K3 Antibody

来源种属Rabbit

克隆性Polyclonal

纯化Antigen affinity purification.

应用WB IHC

种属反应性Human;Mouse

特异性The antibody detects endogenous levels of total MAP4K3 protein.

免疫原类型Recombinant Protein

免疫原描述Fusion protein corresponding to a region derived from internal residues of human Mitogen-activated protein kinase kinase kinase kinase 3

基因/蛋白名称MAP4K3

标记Unconjugated

别名GLK; MEKKK3; MEKKK 3; MAPKKKK3; RAB8IPL1

数据库入口号Swiss-Prot#: Q8IVH8
NCBI Gene ID: 8491
Gene Accssion: BC071579

Uniprot Q8IVH8

实际分子量101kd

浓度1.3mg/ml

配方Rabbit IgG in pH7.3 PBS, 0.05% NaN3, 50% Glycerol.

保存Store at -20˚C

应用详情
Western blotting: 1:500-1:2000
Immunohistochemistry: 1:25-1:100
Gel: 10%SDS-PAGE
Lysates (from left to right): Mouse heart tissue
Amount of lysate: 50ug per lane
Primary antibody: 1/400 dilution
Secondary antibody dilution: 1/8000
Exposure time: 10 seconds
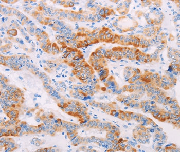
Immunohistochemical analysis of paraffin-embedded Human thyroid cancer tissue using #35951 at dilution 1/30.
This gene encodes a member of the mitogen-activated protein kinase kinase kinase kinase family. The encoded protein activates key effectors in cell signalling, among them c-Jun. Alternatively spliced transcripts encoding multiple isoforms have been observed for this gene. May play a role in the response to environmental stress. Appears to act upstream of the JUN N-terminal pathway. Ubiquitously expressed in all tissues examined, with high levels in heart, brain, placenta, skeletal muscle, kidney and pancreas and lower levels in lung and liver.

如果您使用该产品35951发表了文章,请通知我们,让我们可以引用您的文献。

et al,Baicalein suppresses growth of non-small cell lung carcinoma by targeting MAP4K3. In Biomed Pharmacother on 2021 Jan by Jian Li, Lijun Yan,et al..PMID:33166766 , (2021),
PMID: 33166766

注释

应用

  • WB免疫印迹
  • IHC免疫组化
  • IF免疫荧光
  • ICC免疫细胞化学
  • FC流式细胞
  • IP免疫沉淀
  • E酶联免疫吸附法
  • DB免疫斑点法
  • ChIP染色质免疫沉淀
  • GICA胶体金免疫层析法
  • NC阴性对照

种属反应性

  • Hu
  • Ms小鼠
  • Rt大鼠
  • Dm果蝇
  • C线虫
  • Mk
  • Rb
  • B
  • D
  • P
  • Hm仓鼠
  • ChHm中国仓鼠
  • Chk
;

联系我们

Location :

南京市高新开发区星火路10号人才大厦C座

Phone :

400-9961-933
025-58868422

Email Address

info@sabbiotech.com