免费电话:400-9961-933
邮箱:info@sabbiotech.com
欢迎光临本站
川博智能体 English
位置: 首页 > 多克隆抗体 > TNFAIP1 Antibody

TNFAIP1 Antibody #35962

是否有货: 有货
产品详情

产品名称TNFAIP1 Antibody

来源种属Rabbit

克隆性Polyclonal

纯化Antigen affinity purification.

应用IHC

种属反应性Human

特异性The antibody detects endogenous levels of total TNFAIP1 protein.

免疫原类型Recombinant Protein

免疫原描述Fusion protein corresponding to a region derived from internal residues of human tumor necrosis factor, alpha-induced protein 1 (endothelial)

基因/蛋白名称TNFAIP1

标记Unconjugated

别名B12; B61; EDP1; BTBD34; hBACURD2

数据库入口号Swiss-Prot#: Q13829
NCBI Gene ID: 7126
Gene Accssion: BC001643

Uniprot Q13829

浓度0.7mg/ml

配方Rabbit IgG in pH7.3 PBS, 0.05% NaN3, 50% Glycerol.

保存Store at -20˚C

应用详情
Immunohistochemistry: 1:25-1:100
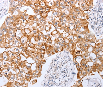
Immunohistochemical analysis of paraffin-embedded Human breast cancer tissue using #35962 at dilution 1/25.
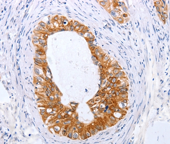
Immunohistochemical analysis of paraffin-embedded Human cervical cancer tissue using #35962 at dilution 1/25.
This gene was identified as a gene whose expression can be induced by the tumor necrosis factor alpha (TNF) in umbilical vein endothelial cells. Studies of a similar gene in mouse suggest that the expression of this gene is developmentally regulated in a tissue-specific manner.

如果您使用该产品35962发表了文章,请通知我们,让我们可以引用您的文献。

et al,Caudatin targets TNFAIP1/NF-魏B and cytochrome c/caspase signaling to suppress tumor progression in human uterine cancer.In Int J Oncol.On 2016 Oct by Tan ZW, Xie S et al..PMID:27633631 , (2016),
PMID: 27633631

注释

应用

  • WB免疫印迹
  • IHC免疫组化
  • IF免疫荧光
  • ICC免疫细胞化学
  • FC流式细胞
  • IP免疫沉淀
  • E酶联免疫吸附法
  • DB免疫斑点法
  • ChIP染色质免疫沉淀
  • GICA胶体金免疫层析法
  • NC阴性对照

种属反应性

  • Hu
  • Ms小鼠
  • Rt大鼠
  • Dm果蝇
  • C线虫
  • Mk
  • Rb
  • B
  • D
  • P
  • Hm仓鼠
  • ChHm中国仓鼠
  • Chk
;

联系我们

Location :

南京市高新开发区星火路10号人才大厦C座

Phone :

400-9961-933
025-58868422

Email Address

info@sabbiotech.com