免费电话:400-9961-933
邮箱:info@sabbiotech.com
欢迎光临本站
川博智能体 English
位置: 首页 > 多克隆抗体 > ACTL8 Antibody

ACTL8 Antibody #36030

是否有货: 有货
产品详情

产品名称ACTL8 Antibody

来源种属Rabbit

克隆性Polyclonal

纯化Antigen affinity purification.

应用WB IHC

种属反应性Human

特异性The antibody detects endogenous levels of total ACTL8 protein.

免疫原类型Recombinant Protein

免疫原描述Fusion protein corresponding to residues near the C terminal of human Actin-like 8

基因/蛋白名称ACTL8

标记Unconjugated

别名CT57

数据库入口号Swiss-Prot#: Q9H568
NCBI Gene ID: 81569
Gene Accssion: BC028909

Uniprot Q9H568

实际分子量41kd

浓度0.7mg/ml

配方Rabbit IgG in pH7.3 PBS, 0.05% NaN3, 50% Glycerol.

保存Store at -20˚C

应用详情
Western blotting: 1:500-1:2000
Immunohistochemistry: 1:15-1:50
Gel: 10%SDS-PAGE
Lysates (from left to right): Hela and A549 cell
Amount of lysate: 40ug per lane
Primary antibody: 1/350 dilution
Secondary antibody dilution: 1/8000
Exposure time: 5 seconds
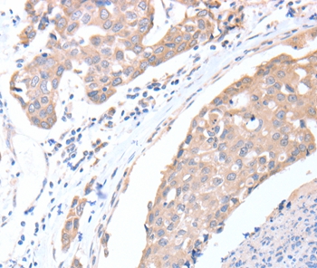
Immunohistochemical analysis of paraffin-embedded Human breast cancer tissue using #36030 at dilution 1/15.
This protein belongs to the actin family. Actin-like 8?is a?protein?in humans that is encoded by the ACTL8?gene. The high levels expression in testis and pancreas and weak expression in placenta. The subcellular location of this protein in cytoplasm, cytoskeleton.

如果您使用该产品36030发表了文章,请通知我们,让我们可以引用您的文献。

et al,Upregulated expression of ACTL8 contributes to Invasion and metastasis and indicates poor prognosis In colorectal cancer. In Onco Targets Ther on 2019 Mar 1 by Han Q, Sun ML, et al.. PMID: 30881029 , (2019),
PMID: 30881029

注释

应用

  • WB免疫印迹
  • IHC免疫组化
  • IF免疫荧光
  • ICC免疫细胞化学
  • FC流式细胞
  • IP免疫沉淀
  • E酶联免疫吸附法
  • DB免疫斑点法
  • ChIP染色质免疫沉淀
  • GICA胶体金免疫层析法
  • NC阴性对照

种属反应性

  • Hu
  • Ms小鼠
  • Rt大鼠
  • Dm果蝇
  • C线虫
  • Mk
  • Rb
  • B
  • D
  • P
  • Hm仓鼠
  • ChHm中国仓鼠
  • Chk
;

联系我们

Location :

南京市高新开发区星火路10号人才大厦C座

Phone :

400-9961-933
025-58868422

Email Address

info@sabbiotech.com