免费电话:400-9961-933
邮箱:info@sabbiotech.com
欢迎光临本站
川博智能体 English
位置: 首页 > 多克隆抗体 > AKAP8L Antibody

AKAP8L Antibody #36068

是否有货: 有货
产品详情

产品名称AKAP8L Antibody

来源种属Rabbit

克隆性Polyclonal

纯化Antigen affinity purification.

应用WB IHC

种属反应性Human

特异性The antibody detects endogenous levels of total AKAP8L protein.

免疫原类型Recombinant Protein

免疫原描述Fusion protein corresponding to residues near the C terminal of human A kinase (PRKA) anchor protein 8-like

基因/蛋白名称AKAP8L

标记Unconjugated

别名HA95; HAP95; NAKAP; NAKAP95

数据库入口号Swiss-Prot#: Q9ULX6
NCBI Gene ID: 26993
Gene Accssion: BC000713

Uniprot Q9ULX6

实际分子量72kd

浓度0.7mg/ml

配方Rabbit IgG in pH7.3 PBS, 0.05% NaN3, 50% Glycerol.

保存Store at -20˚C

应用详情
Western blotting: 1:200-1:1000
Immunohistochemistry: 1:25-1:100
Gel: 8%SDS-PAGE
Lysates (from left to right): Jurkat, 293T and K562 cell
Amount of lysate: 40ug per lane
Primary antibody: 1/117 dilution
Secondary antibody dilution: 1/8000
Exposure time: 30 seconds
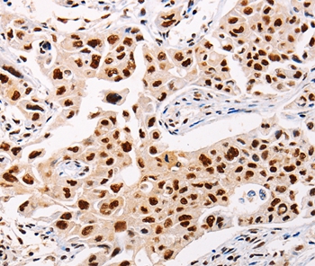
Immunohistochemical analysis of paraffin-embedded Human lung cancer tissue using #36068 at dilution 1/20.
A-kinase anchor protein 8-like?is an?enzyme?that in humans is encoded by the?AKAP8L?gene. Could play a role in constitutive transport element (CTE)-mediated gene expression. Does not seem to be implicated in the binding of regulatory subunit II of PKA. May be involved in nuclear envelope breakdown and chromatin condensation. May regulate the initiation phase of DNA replication when associated with TMPO-beta.

如果您使用该产品36068发表了文章,请通知我们,让我们可以引用您的文献。

et al,Integrative analysis identifies AKAP8L as an immunological and prognostic biomarker of pan-cancerInAging (Albany NY)On2023 Sep 7byLibo Zhou?1,?Jinhong Mei? et al..PMID:?37683130 , (2023),
PMID: 37683130
et al,Integrative analysis identifies AKAP8L as an immunological and prognostic biomarker of pan-cancer , (2023),
PMID: 37683130

注释

应用

  • WB免疫印迹
  • IHC免疫组化
  • IF免疫荧光
  • ICC免疫细胞化学
  • FC流式细胞
  • IP免疫沉淀
  • E酶联免疫吸附法
  • DB免疫斑点法
  • ChIP染色质免疫沉淀
  • GICA胶体金免疫层析法
  • NC阴性对照

种属反应性

  • Hu
  • Ms小鼠
  • Rt大鼠
  • Dm果蝇
  • C线虫
  • Mk
  • Rb
  • B
  • D
  • P
  • Hm仓鼠
  • ChHm中国仓鼠
  • Chk
;

联系我们

Location :

南京市高新开发区星火路10号人才大厦C座

Phone :

400-9961-933
025-58868422

Email Address

info@sabbiotech.com