免费电话:400-9961-933
邮箱:info@sabbiotech.com
欢迎光临本站
川博智能体 English
位置: 首页 > 多克隆抗体 > AMHR2 Antibody

AMHR2 Antibody #36093

是否有货: 有货
产品详情

产品名称AMHR2 Antibody

来源种属Rabbit

克隆性Polyclonal

纯化Antigen affinity purification.

应用IHC

种属反应性Human

特异性The antibody detects endogenous levels of total AMHR2 protein.

免疫原类型Recombinant Protein

免疫原描述Fusion protein corresponding to a region derived from internal residues of human anti-Mullerian hormone receptor, type II

基因/蛋白名称AMHR2

标记Unconjugated

别名AMHR; MRII; MISR2; MISRII

数据库入口号Swiss-Prot#: Q16671
NCBI Gene ID: 269
Gene Accssion: BC126316

Uniprot Q16671

浓度1.4mg/ml

配方Rabbit IgG in pH7.3 PBS, 0.05% NaN3, 50% Glycerol.

保存Store at -20˚C

应用详情
Immunohistochemistry: 1:50-1:200
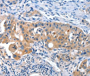
Immunohistochemical analysis of paraffin-embedded Human cervical cancer tissue using #36093 at dilution 1/40.
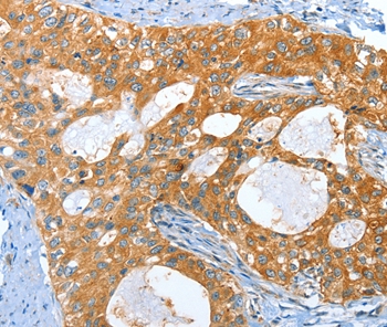
Immunohistochemical analysis of paraffin-embedded Human lung cancer tissue using #36093 at dilution 1/40.
This gene encodes the receptor for the anti-Mullerian hormone (AMH) which, in addition to testosterone, results in male sex differentiation. AMH and testosterone are produced in the testes by different cells and have different effects. Testosterone promotes the development of male genitalia while the binding of AMH to the encoded receptor prevents the development of the mullerian ducts into uterus and Fallopian tubes. Mutations in this gene are associated with persistent Mullerian duct syndrome type II. Alternatively spliced transcript variants encoding different isoforms have been identified.

如果您使用该产品36093发表了文章,请通知我们,让我们可以引用您的文献。

et al,Long-Term Advantages of Ovarian Reserve Maintenance and Follicle Development Using Adipose Tissue-Derived Stem Cells in Ovarian Tissue Transplantation. In J Clin Med on 2020 Sep 15 by Luciana Cacciottola, Thu Y T Nguyen, et al..PMID: 32942743 , (2020),
PMID: 32942743

注释

应用

  • WB免疫印迹
  • IHC免疫组化
  • IF免疫荧光
  • ICC免疫细胞化学
  • FC流式细胞
  • IP免疫沉淀
  • E酶联免疫吸附法
  • DB免疫斑点法
  • ChIP染色质免疫沉淀
  • GICA胶体金免疫层析法
  • NC阴性对照

种属反应性

  • Hu
  • Ms小鼠
  • Rt大鼠
  • Dm果蝇
  • C线虫
  • Mk
  • Rb
  • B
  • D
  • P
  • Hm仓鼠
  • ChHm中国仓鼠
  • Chk
;

联系我们

Location :

南京市高新开发区星火路10号人才大厦C座

Phone :

400-9961-933
025-58868422

Email Address

info@sabbiotech.com