免费电话:400-9961-933
邮箱:info@sabbiotech.com
欢迎光临本站
川博智能体 English
位置: 首页 > 多克隆抗体 > AMIGO2 Antibody

AMIGO2 Antibody #36094

是否有货: 有货
产品详情

产品名称AMIGO2 Antibody

来源种属Rabbit

克隆性Polyclonal

纯化Antigen affinity purification.

应用WB IHC

种属反应性Human;Mouse

特异性The antibody detects endogenous levels of total AMIGO2 protein.

免疫原类型Recombinant Protein

免疫原描述Fusion protein corresponding to a region derived from internal residues of human adhesion molecule with Ig-like domain 2

基因/蛋白名称AMIGO2

标记Unconjugated

别名ALI1; DEGA; AMIGO-2

数据库入口号Swiss-Prot#: Q86SJ2
NCBI Gene ID: 347902
Gene Accssion: BC047595

Uniprot Q86SJ2

实际分子量58kd

浓度2.5mg/ml

配方Rabbit IgG in pH7.3 PBS, 0.05% NaN3, 50% Glycerol.

保存Store at -20˚C

应用详情
Western blotting: 1:500-1:2000
Immunohistochemistry: 1:50-1:200
Gel: 6%SDS-PAGE
Lysates (from left to right): SP20 cell and mouse heart tissue
Amount of lysate: 40ug per lane
Primary antibody: 1/615 dilution
Secondary antibody dilution: 1/8000
Exposure time: 2 minutes
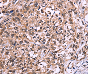
Immunohistochemical analysis of paraffin-embedded Human esophagus cancer tissue using #36094 at dilution 1/50.
The amphoterin-induced gene and ORF (AMIGO) family of proteins consists of AMIGO-1, AMIGO-2 and AMIGO-3. All three members are single pass type I membrane proteins that contain several leucine-rich repeats, one IgG domain, and a transmembrane domain. The AMIGO proteins are specifically expressed on fiber tracts of neuronal tissues and participate in their formation. The AMIGO proteins can form complexes with each other, but can also bind itself. AMIGO-1, also designated Alivin-2, promotes growth and fasciculation of neurites and plays a role in myelination and fasciculation of developing neural axons. In cerebellar neurons, AMIGO-2 (Alivin-1) is crucial for depolarization-dependent survival. Similar to AMIGO-1 and AMIGO-2, AMIGO-3 (Alivin-3) plays a role in homophilic and/or heterophilic cell-cell interaction and signal transduction

如果您使用该产品36094发表了文章,请通知我们,让我们可以引用您的文献。

et al,Establishment of an Antibody Specic for AMIGO2 Improves Immunohistochemical Evaluation of Liver Metastases and Clinical Outcomes in Patients with Colorectal Cancer.In Diagn Pathol on 2022 Jan 30 by Keisuke Goto, Mitsuhiko Osaki,et al..PMID:35094710 , (2021),
PMID: 35094710
et al,Establishment of an antibody specific for AMIGO2 improves immunohistochemical evaluation of liver metastases and clinical outcomes in patients with colorectal cancer. In Diagn Pathol on 2022 Jan 30 by Keisuke Goto, Mitsuhiko Osaki,et al..PMID:35094710 , (2022),
PMID: 35094710
et al,Multifunctional Inorganic-Nanosheets-Based Nanohydrogel for Periodontal Bone Regeneration via Antibacterial and Anti-Ferroptotic Immunomodulation , (2025),
PMID: 41250788

注释

应用

  • WB免疫印迹
  • IHC免疫组化
  • IF免疫荧光
  • ICC免疫细胞化学
  • FC流式细胞
  • IP免疫沉淀
  • E酶联免疫吸附法
  • DB免疫斑点法
  • ChIP染色质免疫沉淀
  • GICA胶体金免疫层析法
  • NC阴性对照

种属反应性

  • Hu
  • Ms小鼠
  • Rt大鼠
  • Dm果蝇
  • C线虫
  • Mk
  • Rb
  • B
  • D
  • P
  • Hm仓鼠
  • ChHm中国仓鼠
  • Chk
;

联系我们

Location :

南京市高新开发区星火路10号人才大厦C座

Phone :

400-9961-933
025-58868422

Email Address

info@sabbiotech.com