免费电话:400-9961-933
邮箱:info@sabbiotech.com
欢迎光临本站
川博智能体 English
位置: 首页 > 多克隆抗体 > AMOTL2 Antibody

AMOTL2 Antibody #36101

是否有货: 有货
产品详情

产品名称AMOTL2 Antibody

来源种属Rabbit

克隆性Polyclonal

纯化Antigen affinity purification.

应用IHC

种属反应性Human

特异性The antibody detects endogenous levels of total AMOTL2 protein.

免疫原类型Recombinant Protein

免疫原描述Fusion protein corresponding to residues near the C terminal of human angiomotin like 2

基因/蛋白名称AMOTL2

标记Unconjugated

别名LCCP

数据库入口号Swiss-Prot#: Q9Y2J4
NCBI Gene ID: 51421
Gene Accssion: BC011454

Uniprot Q9Y2J4

浓度0.7mg/ml

配方Rabbit IgG in pH7.3 PBS, 0.05% NaN3, 50% Glycerol.

保存Store at -20˚C

应用详情
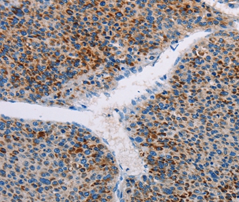
Immunohistochemistry: 1:25-1:100
Immunohistochemical analysis of paraffin-embedded Human liver cancer tissue using #36101 at dilution 1/20.
Angiomotin is a protein that binds angiostatin, a circulating inhibitor of the formation of new blood vessels (angiogenesis). Angiomotin mediates angiostatin inhibition of endothelial cell migration and tube formation in vitro. The protein encoded by this gene is related to angiomotin and is a member of the motins protein family.

如果您使用该产品36101发表了文章,请通知我们,让我们可以引用您的文献。

et al,AMOTL2鈥慿nockdown promotes the proliferation, migration and invasion of glioma by regulating 尾鈥慶atenin nuclear localization. In Oncol Rep on 2021 Jul by Xingjie Chen, Yalin Lu,et al..PMID:34036399 , (2021),
PMID: 34036399

注释

应用

  • WB免疫印迹
  • IHC免疫组化
  • IF免疫荧光
  • ICC免疫细胞化学
  • FC流式细胞
  • IP免疫沉淀
  • E酶联免疫吸附法
  • DB免疫斑点法
  • ChIP染色质免疫沉淀
  • GICA胶体金免疫层析法
  • NC阴性对照

种属反应性

  • Hu
  • Ms小鼠
  • Rt大鼠
  • Dm果蝇
  • C线虫
  • Mk
  • Rb
  • B
  • D
  • P
  • Hm仓鼠
  • ChHm中国仓鼠
  • Chk
;

联系我们

Location :

南京市高新开发区星火路10号人才大厦C座

Phone :

400-9961-933
025-58868422

Email Address

info@sabbiotech.com