免费电话:400-9961-933
邮箱:info@sabbiotech.com
欢迎光临本站
川博智能体 English
位置: 首页 > 多克隆抗体 > USP2 Antibody

USP2 Antibody #36169

是否有货: 有货
产品详情

产品名称USP2 Antibody

来源种属Rabbit

克隆性Polyclonal

纯化Antigen affinity purification.

应用IHC

种属反应性Human

特异性The antibody detects endogenous levels of total USP2 protein.

免疫原类型Recombinant Protein

免疫原描述Fusion protein corresponding to residues near the C terminal of human ubiquitin specific peptidase 2

基因/蛋白名称USP2

标记Unconjugated

别名USP9; UBP41

数据库入口号Swiss-Prot#: O75604
NCBI Gene ID: 9099
Gene Accssion: BC002854

Uniprot O75604

浓度1.7mg/ml

配方Rabbit IgG in pH7.3 PBS, 0.05% NaN3, 50% Glycerol.

保存Store at -20˚C

应用详情
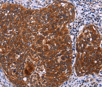
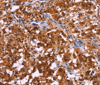
Immunohistochemistry: 1:50-1:200
Immunohistochemical analysis of paraffin-embedded Human cervical cancer tissue using #36169 at dilution 1/40.
Immunohistochemical analysis of paraffin-embedded Human thyroid cancer tissue using #36169 at dilution 1/40.
This gene encodes a member of the family of de-ubiquitinating enzymes, which belongs to the peptidase C19 superfamily. The encoded protein is a ubiquitin-specific protease which is required for TNF-alpha (tumor necrosis factor alpha) -induced NF-kB (nuclear factor kB) signaling. This protein deubiquitinates polyubiquitinated target proteins such as fatty acid synthase, murine double minute 2 (MDM2), MDM4/MDMX and cyclin D1. MDM2 and MDM4 are negative regulators of the p53 tumor suppressor and cyclin D1 is required for cell cycle G1/S transition. Multiple alternatively spliced transcript variants encoding different isoforms have been identified.

如果您使用该产品36169发表了文章,请通知我们,让我们可以引用您的文献。

et al,Roxadustat ameliorates experimental colitis in mice by regulating macrophage polarization through increasing HIF level. In Biochim Biophys Acta Gen Subj on 2024 Mar by Guiping Kong, Hu Hua,et al..PMID:38158022 , (2024),
PMID: 38158022

注释

应用

  • WB免疫印迹
  • IHC免疫组化
  • IF免疫荧光
  • ICC免疫细胞化学
  • FC流式细胞
  • IP免疫沉淀
  • E酶联免疫吸附法
  • DB免疫斑点法
  • ChIP染色质免疫沉淀
  • GICA胶体金免疫层析法
  • NC阴性对照

种属反应性

  • Hu
  • Ms小鼠
  • Rt大鼠
  • Dm果蝇
  • C线虫
  • Mk
  • Rb
  • B
  • D
  • P
  • Hm仓鼠
  • ChHm中国仓鼠
  • Chk
;

联系我们

Location :

南京市高新开发区星火路10号人才大厦C座

Phone :

400-9961-933
025-58868422

Email Address

info@sabbiotech.com