免费电话:400-9961-933
邮箱:info@sabbiotech.com
欢迎光临本站
川博智能体 English
位置: 首页 > 多克隆抗体 > RICTOR Antibody

RICTOR Antibody #36195

是否有货: 有货
产品详情

产品名称RICTOR Antibody

来源种属Rabbit

克隆性Polyclonal

纯化Antigen affinity purification.

应用IHC

种属反应性Human

特异性The antibody detects endogenous levels of total RICTOR protein.

免疫原类型Recombinant Protein

免疫原描述Full length fusion protein

基因/蛋白名称RICTOR

标记Unconjugated

别名PIA; AVO3; hAVO3

数据库入口号Swiss-Prot#: Q6R327
NCBI Gene ID: 253260
Gene Accssion: BC029608

Uniprot Q6R327

浓度2mg/ml

配方Rabbit IgG in pH7.3 PBS, 0.05% NaN3, 50% Glycerol.

保存Store at -20˚C

应用详情
Immunohistochemistry: 1:25-1:200
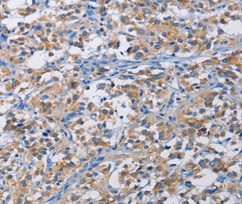
Immunohistochemical analysis of paraffin-embedded Human thyroid cancer tissue using #36195 at dilution 1/50.
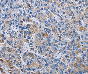
Immunohistochemical analysis of paraffin-embedded Human liver cancer tissue using #36195 at dilution 1/50.
Rapamycin-insensitive companion of mTOR?is a?protein?that in humans is encoded by the?RICTOR?gene. RICTOR and MTOR are components of a protein complex that integrates nutrient- and growth factor-derived signals to regulate cell growth. Subunit of mTORC2, which regulates cell growth and survival in response to hormonal signals. mTORC2 is activated by growth factors, but, in contrast to mTORC1, seems to be nutrient-insensitive. mTORC2 seems to function upstream of Rho GTPases to regulate the actin cytoskeleton, probably by activating one or more Rho-type guanine nucleotide exchange factors.

如果您使用该产品36195发表了文章,请通知我们,让我们可以引用您的文献。

et al,MiR-155 enhances phagocytosis of alveolar macrophages through the mTORC2/RhoA pathwayInMedicineOn2023 Sep 1byXinna Yang?1?2,?Xiaoli Zeng et al..PMID: 37657048 , (2023),
PMID: 37657048

注释

应用

  • WB免疫印迹
  • IHC免疫组化
  • IF免疫荧光
  • ICC免疫细胞化学
  • FC流式细胞
  • IP免疫沉淀
  • E酶联免疫吸附法
  • DB免疫斑点法
  • ChIP染色质免疫沉淀
  • GICA胶体金免疫层析法
  • NC阴性对照

种属反应性

  • Hu
  • Ms小鼠
  • Rt大鼠
  • Dm果蝇
  • C线虫
  • Mk
  • Rb
  • B
  • D
  • P
  • Hm仓鼠
  • ChHm中国仓鼠
  • Chk
;

联系我们

Location :

南京市高新开发区星火路10号人才大厦C座

Phone :

400-9961-933
025-58868422

Email Address

info@sabbiotech.com