免费电话:400-9961-933
邮箱:info@sabbiotech.com
欢迎光临本站
川博智能体 English
位置: 首页 > 多克隆抗体 > AK2 Antibody

AK2 Antibody #36210

是否有货: 有货
产品详情

产品名称AK2 Antibody

来源种属Rabbit

克隆性Polyclonal

纯化Antigen affinity purification.

应用WB IHC

种属反应性Human;Mouse

特异性The antibody detects endogenous levels of total AK2 protein.

免疫原类型Recombinant Protein

免疫原描述Fusion protein corresponding to residues near the N terminal of human adenylate kinase 2

基因/蛋白名称AK2

标记Unconjugated

别名ADK2; AK 2

数据库入口号Swiss-Prot#: P54819
NCBI Gene ID: 204
Gene Accssion: BC009405

Uniprot P54819

实际分子量26kd

浓度1.6mg/ml

配方Rabbit IgG in pH7.3 PBS, 0.05% NaN3, 50% Glycerol.

保存Store at -20˚C

应用详情
Western blotting: 1:500-1:2000
Immunohistochemistry: 1:50-1:200
Gel: 10%SDS-PAGE
Lysates (from left to right): Human placenta tissue and A549 cell, mouse brain tissue and hepG2 cell, Raji cell and human fetal liver tissue, hela cell
Amount of lysate: 40ug per lane
Primary antibody: 1/300 dilution
Secondary antibody dilution: 1/8000
Exposure time: 20 seconds
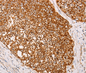
Immunohistochemical analysis of paraffin-embedded Human cervical cancer tissue using #36210 at dilution 1/40.
Adenylate kinases are involved in regulating the adenine nucleotide composition within a cell by catalyzing the reversible transfer of phosphate groups among adenine nucleotides. Three isozymes of adenylate kinase, namely 1, 2, and 3, have been identified in vertebrates; this gene encodes isozyme 2. Expression of these isozymes is tissue-specific and developmentally regulated. Isozyme 2 is localized in the mitochondrial intermembrane space and may play a role in apoptosis. Mutations in this gene are the cause of reticular dysgenesis. Alternate splicing results in multiple transcript variants. Pseudogenes of this gene are found on chromosomes 1 and 2.

如果您使用该产品36210发表了文章,请通知我们,让我们可以引用您的文献。

et al,Effects of the Nonsteroidal Anti-inflammatory Drug Celecoxib on Mitochondrial Function.In Biol Pharm Bull. On 2018 by Tatematsu Y, Fujita H et al..PMID:29491208 , (2018),
PMID: 29491208

注释

应用

  • WB免疫印迹
  • IHC免疫组化
  • IF免疫荧光
  • ICC免疫细胞化学
  • FC流式细胞
  • IP免疫沉淀
  • E酶联免疫吸附法
  • DB免疫斑点法
  • ChIP染色质免疫沉淀
  • GICA胶体金免疫层析法
  • NC阴性对照

种属反应性

  • Hu
  • Ms小鼠
  • Rt大鼠
  • Dm果蝇
  • C线虫
  • Mk
  • Rb
  • B
  • D
  • P
  • Hm仓鼠
  • ChHm中国仓鼠
  • Chk
;

联系我们

Location :

南京市高新开发区星火路10号人才大厦C座

Phone :

400-9961-933
025-58868422

Email Address

info@sabbiotech.com