免费电话:400-9961-933
邮箱:info@sabbiotech.com
欢迎光临本站
川博智能体 English
位置: 首页 > 多克隆抗体 > MAGEA10 Antibody

MAGEA10 Antibody #36594

是否有货: 有货
产品详情

产品名称MAGEA10 Antibody

来源种属Rabbit

克隆性Polyclonal

纯化Antigen affinity purification.

应用WB IHC

种属反应性Human

特异性The antibody detects endogenous levels of total MAGEA10 protein.

免疫原类型Recombinant Protein

免疫原描述Fusion protein corresponding to a region derived from internal residues of human melanoma antigen family A, 10

基因/蛋白名称MAGEA10

标记Unconjugated

别名CT1.10; MAGE10

数据库入口号Swiss-Prot#: P43363
NCBI Gene ID: 4109
Gene Accssion: BC004105/P43363

Uniprot P43363

实际分子量41kd

浓度2.3mg/ml

配方Rabbit IgG in pH7.3 PBS, 0.05% NaN3, 50% Glycerol.

保存Store at -20˚C

应用详情
Western blotting: 1:1000-1:5000
Immunohistochemistry: 1:50-1:200
Gel: 8%SDS-PAGE
Lysate: 40ug A375 cell
Primary antibody: 1/400 dilution
Secondary antibody dilution: 1/8000
Exposure time: 20 seconds
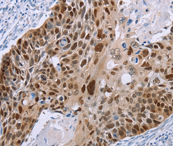
Immunohistochemical analysis of paraffin-embedded Human esophagus cancer tissue using #36594 at dilution 1/50.
This gene is a member of the MAGEA gene family. The members of this family encode proteins with 50 to 80% sequence identity to each other. The promoters and first exons of the MAGEA genes show considerable variability, suggesting that the existence of this gene family enables the same function to be expressed under different transcriptional controls. The MAGEA genes are clustered at chromosomal location Xq28. They have been implicated in some hereditary disorders, such as dyskeratosis congenita. Alternative splicing results in multiple transcript variants.?

如果您使用该产品36594发表了文章,请通知我们,让我们可以引用您的文献。

et al,Establishment of cancer/testis antigen profiling based on clinicopathological characteristics in resected pathological stage III non-small cell lung cancer.In Cancer Manag Res.On 2018 Jul 16 by Jin S, Cao S et al..PMID: 30038519 , (2018),
PMID: 30038519

注释

应用

  • WB免疫印迹
  • IHC免疫组化
  • IF免疫荧光
  • ICC免疫细胞化学
  • FC流式细胞
  • IP免疫沉淀
  • E酶联免疫吸附法
  • DB免疫斑点法
  • ChIP染色质免疫沉淀
  • GICA胶体金免疫层析法
  • NC阴性对照

种属反应性

  • Hu
  • Ms小鼠
  • Rt大鼠
  • Dm果蝇
  • C线虫
  • Mk
  • Rb
  • B
  • D
  • P
  • Hm仓鼠
  • ChHm中国仓鼠
  • Chk
;

联系我们

Location :

南京市高新开发区星火路10号人才大厦C座

Phone :

400-9961-933
025-58868422

Email Address

info@sabbiotech.com