免费电话:400-9961-933
邮箱:info@sabbiotech.com
欢迎光临本站
川博智能体 English
位置: 首页 > 多克隆抗体 > HTR1A Antibody

HTR1A Antibody #36720

是否有货: 有货
产品详情

产品名称HTR1A Antibody

来源种属Rabbit

克隆性Polyclonal

纯化Antigen affinity purification.

应用WB IHC

种属反应性Human;Mouse;Rat

特异性The antibody detects endogenous levels of total HTR1A protein.

免疫原类型Peptide

免疫原描述Synthetic peptide corresponding to a region derived from internal residues of human 5-hydroxytryptamine receptor 1A

基因/蛋白名称HTR1A

标记Unconjugated

别名5-HT1A; ADRB2RL1; ADRBRL1

数据库入口号Swiss-Prot#: P08908
NCBI Gene ID: 3350
Gene Accssion: NP_000515

Uniprot P08908

实际分子量46kd

浓度2.9mg/ml

配方Rabbit IgG in pH7.3 PBS, 0.05% NaN3, 50% Glycerol.

保存Store at -20˚C

应用详情
Western blotting: 1:1000-1:5000
Immunohistochemistry: 1:100-1:300
Gel: 8%SDS-PAGE
Lysates (from left to right): HT-29 cell and Mouse brain tissue
Amount of lysate: 30ug per lane
Primary antibody: 1/1500 dilution
Secondary antibody dilution: 1/8000
Exposure time: 2 minutes
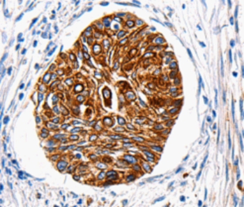
Immunohistochemical analysis of paraffin-embedded Human cervical cancer tissue using #36720 at dilution 1/100.
This gene encodes a G protein-coupled receptor for 5-hydroxytryptamine (serotonin), and belongs to the 5-hydroxytryptamine receptor subfamily. Serotonin has been implicated in a number of physiologic processes and pathologic conditions. Inactivation of this gene in mice results in behavior consistent with an increased anxiety and stress response. Mutation in the promoter of this gene has been associated with menstrual cycle-dependent periodic fevers

如果您使用该产品36720发表了文章,请通知我们,让我们可以引用您的文献。

et al,The epigenetic role of HTR1A antagonist in facilitating GnRH expression for pubertal initiation control , (2021),
PMID: 34458005
et al,The epigenetic role of HTR1A antagonist in facilitating GnRH expression for pubertal initiation control , (2021),
PMID: 34458005

注释

应用

  • WB免疫印迹
  • IHC免疫组化
  • IF免疫荧光
  • ICC免疫细胞化学
  • FC流式细胞
  • IP免疫沉淀
  • E酶联免疫吸附法
  • DB免疫斑点法
  • ChIP染色质免疫沉淀
  • GICA胶体金免疫层析法
  • NC阴性对照

种属反应性

  • Hu
  • Ms小鼠
  • Rt大鼠
  • Dm果蝇
  • C线虫
  • Mk
  • Rb
  • B
  • D
  • P
  • Hm仓鼠
  • ChHm中国仓鼠
  • Chk
;

联系我们

Location :

南京市高新开发区星火路10号人才大厦C座

Phone :

400-9961-933
025-58868422

Email Address

info@sabbiotech.com