免费电话:400-9961-933
邮箱:info@sabbiotech.com
欢迎光临本站
川博智能体 English
位置: 首页 > 多克隆抗体 > FGF2 Antibody

FGF2 Antibody #36769

是否有货: 有货
产品详情

产品名称FGF2 Antibody

来源种属Rabbit

克隆性Polyclonal

纯化Antigen affinity purification.

应用WB IHC

种属反应性Human;Mouse;Rat

特异性The antibody detects endogenous levels of total FGF2 protein.

免疫原类型Peptide

免疫原描述Synthetic peptide corresponding to a region derived from internal residues of human Fibroblast growth factor 2

基因/蛋白名称FGF2

标记Unconjugated

别名BFGF; FGFB; FGF-2; HBGF-2

数据库入口号Swiss-Prot#: P09038
NCBI Gene ID: 2247
Gene Accssion: NP_001997

Uniprot P09038

实际分子量31kd

浓度2.7mg/ml

配方Rabbit IgG in pH7.3 PBS, 0.05% NaN3, 50% Glycerol.

保存Store at -20˚C

应用详情
Western blotting: 1:1000-1:5000
Immunohistochemistry: 1:100-1:500
Gel: 8%SDS-PAGE
Lysates (from left to right): Mouse lung tissue
Amount of lysate: 30ug per lane
Primary antibody: 1/1000 dilution
Secondary antibody dilution: 1/8000
Exposure time: 10 seconds
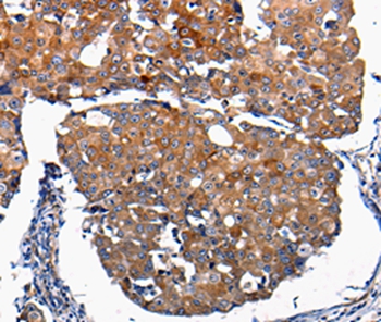
Immunohistochemical analysis of paraffin-embedded Human breast cancer tissue using #36769 at dilution 1/100.
The protein encoded by this gene is a member of the fibroblast growth factor (FGF) family. FGF family members bind heparin and possess broad mitogenic and angiogenic activities. This protein has been implicated in diverse biological processes, such as limb and nervous system development, wound healing, and tumor growth. The mRNA for this gene contains multiple polyadenylation sites, and is alternatively translated from non-AUG (CUG) and AUG initiation codons, resulting in five different isoforms with distinct properties. The CUG-initiated isoforms are localized in the nucleus and are responsible for the intracrine effect, whereas, the AUG-initiated form is mostly cytosolic and is responsible for the paracrine and autocrine effects of this FGF.

如果您使用该产品36769发表了文章,请通知我们,让我们可以引用您的文献。

et al,Growth of MCF-7 breast cancer cells and efficacy of anti-angiogenic agents in a hydroxyethyl chitosan/glycidyl methacrylate hydrogel.In Cancer Cell Int on 2017 May 16 by Hejing Wang,Junmin Qian,et al..PMID: 28515673 , (2017),
PMID: 28515673
et al,Apurinic/apyrimidinic endonuclease 1 induced upregulation of fibroblast growth factor 2 and its receptor 3 induces angiogenesis in human osteosarcoma cells.In Cancer Sci on 2014 Feb by Tao Ren, Yi Qing et al..PMID:24329908 , (2014),
PMID: 24329908
et al,ATF6 aggravates angiogenesis-osteogenesis coupling during ankylosing spondylitis by mediating FGF2 expression in chondrocytes. In iScience on 2021 Jun 28 by Mengjun Ma, Hongyu Li,et al..PMID:34296071 , (2021),
PMID: 34296071
et al,Exosomal miR-100-5p inhibits osteogenesis of hBMSCs and angiogenesis of HUVECs by suppressing the BMPR2/Smad1/5/9 signalling pathway. , (2021),
PMID: 34256859

注释

应用

  • WB免疫印迹
  • IHC免疫组化
  • IF免疫荧光
  • ICC免疫细胞化学
  • FC流式细胞
  • IP免疫沉淀
  • E酶联免疫吸附法
  • DB免疫斑点法
  • ChIP染色质免疫沉淀
  • GICA胶体金免疫层析法
  • NC阴性对照

种属反应性

  • Hu
  • Ms小鼠
  • Rt大鼠
  • Dm果蝇
  • C线虫
  • Mk
  • Rb
  • B
  • D
  • P
  • Hm仓鼠
  • ChHm中国仓鼠
  • Chk
;

联系我们

Location :

南京市高新开发区星火路10号人才大厦C座

Phone :

400-9961-933
025-58868422

Email Address

info@sabbiotech.com