免费电话:400-9961-933
邮箱:info@sabbiotech.com
欢迎光临本站
川博智能体 English
位置: 首页 > 多克隆抗体 > DVL2 Antibody

DVL2 Antibody #36830

是否有货: 有货
产品详情

产品名称DVL2 Antibody

来源种属Rabbit

克隆性Polyclonal

纯化Antigen affinity purification.

应用IHC

种属反应性Human;Mouse

特异性The antibody detects endogenous levels of total DVL2 protein.

免疫原类型Peptide

免疫原描述Synthetic peptide corresponding to a region derived from internal residues of human dishevelled segment polarity protein 2

基因/蛋白名称DVL2

标记Unconjugated

别名Dishevelled-2; DSH homolog 2; DVL2;

数据库入口号Swiss-Prot#: O14641
NCBI Gene ID: 1856
Gene Accssion: NP_004413

Uniprot O14641

浓度2.1mg/ml

配方Rabbit IgG in pH7.3 PBS, 0.05% NaN3, 50% Glycerol.

保存Store at -20˚C

应用详情
Immunohistochemistry: 1:25-1:100
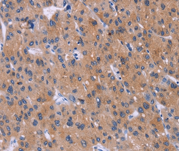
Immunohistochemical analysis of paraffin-embedded Human liver cancer tissue using #36830 at dilution 1/20.
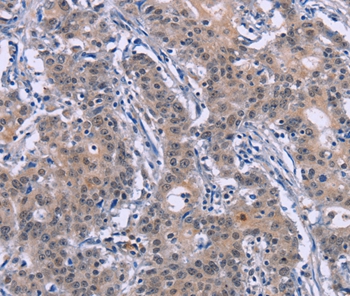
Immunohistochemical analysis of paraffin-embedded Human gastric cancer tissue using #36830 at dilution 1/20.
This gene encodes a member of the dishevelled (dsh) protein family. The vertebrate dsh proteins have approximately 40% amino acid sequence similarity with Drosophila dsh. This gene encodes a 90-kD protein that undergoes posttranslational phosphorylation to form a 95-kD cytoplasmic protein, which may play a role in the signal transduction pathway mediated by multiple Wnt proteins. The mechanisms of dishevelled function in Wnt signaling are likely to be conserved among metazoans.

如果您使用该产品36830发表了文章,请通知我们,让我们可以引用您的文献。

et al,Eurycomalactone switched hepatocellular carcinoma cells into quiescence through 5'tRFAla/DVL/β-catenin pathway inhibition. , (2025),
PMID: 40128187

注释

应用

  • WB免疫印迹
  • IHC免疫组化
  • IF免疫荧光
  • ICC免疫细胞化学
  • FC流式细胞
  • IP免疫沉淀
  • E酶联免疫吸附法
  • DB免疫斑点法
  • ChIP染色质免疫沉淀
  • GICA胶体金免疫层析法
  • NC阴性对照

种属反应性

  • Hu
  • Ms小鼠
  • Rt大鼠
  • Dm果蝇
  • C线虫
  • Mk
  • Rb
  • B
  • D
  • P
  • Hm仓鼠
  • ChHm中国仓鼠
  • Chk
;

联系我们

Location :

南京市高新开发区星火路10号人才大厦C座

Phone :

400-9961-933
025-58868422

Email Address

info@sabbiotech.com