免费电话:400-9961-933
邮箱:info@sabbiotech.com
欢迎光临本站
川博智能体 English
位置: 首页 > 多克隆抗体 > P2RY1 Antibody

P2RY1 Antibody #37007

是否有货: 有货
产品详情

产品名称P2RY1 Antibody

来源种属Rabbit

克隆性Polyclonal

纯化Antigen affinity purification.

应用WB IHC

种属反应性Human;Mouse;Rat

特异性The antibody detects endogenous levels of total P2RY1 protein.

免疫原类型Peptide

免疫原描述Synthetic peptide corresponding to a region derived from internal residues of human purinergic receptor P2Y, G-protein coupled, 1

基因/蛋白名称P2RY1

标记Unconjugated

别名P2Y1

数据库入口号Swiss-Prot#: P47900
NCBI Gene ID: 5028
Gene Accssion: NP_002554/P47900

Uniprot P47900

实际分子量42kd

浓度2.8mg/ml

配方Rabbit IgG in pH7.3 PBS, 0.05% NaN3, 50% Glycerol.

保存Store at -20˚C

应用详情
Western blotting: 1:200-1:1000
Immunohistochemistry: 1:50-1:200
Gel: 10%SDS-PAGE
Lysates (from left to right): A549 cell and mouse liver tissue
Amount of lysate: 40ug per lane
Primary antibody: 1/200 dilution
Secondary antibody dilution: 1/8000
Exposure time: 30 seconds
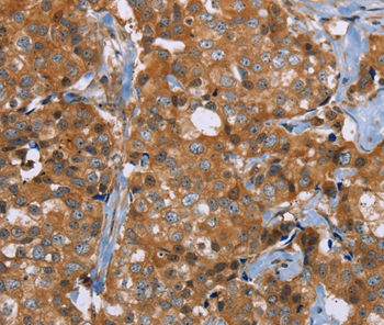
Immunohistochemical analysis of paraffin-embedded Human breast cancer tissue using #37007 at dilution 1/40.
The product of this gene belongs to the family of G-protein coupled receptors. This family has several receptor subtypes with different pharmacological selectivity, which overlaps in some cases, for various adenosine and uridine nucleotides. This receptor functions as a receptor for extracellular ATP and ADP. In platelets binding to ADP leads to mobilization of intracellular calcium ions via activation of phospholipase C, a change in platelet shape, and probably to platelet aggregation.

如果您使用该产品37007发表了文章,请通知我们,让我们可以引用您的文献。

et al,Artemisinin inhibits neuronal ferroptosis in Alzheimer's disease models by targeting KEAP1 , (2025),
PMID: 39251858
et al,Structure-Based Discovery of Quinazolin-2-amine Derivatives as Potent ROR1 Pseudokinase Inhibitors with In Vitro and In Vivo Efficacy against Triple-Negative … , (2025),
PMID: 40736991

注释

应用

  • WB免疫印迹
  • IHC免疫组化
  • IF免疫荧光
  • ICC免疫细胞化学
  • FC流式细胞
  • IP免疫沉淀
  • E酶联免疫吸附法
  • DB免疫斑点法
  • ChIP染色质免疫沉淀
  • GICA胶体金免疫层析法
  • NC阴性对照

种属反应性

  • Hu
  • Ms小鼠
  • Rt大鼠
  • Dm果蝇
  • C线虫
  • Mk
  • Rb
  • B
  • D
  • P
  • Hm仓鼠
  • ChHm中国仓鼠
  • Chk
;

联系我们

Location :

南京市高新开发区星火路10号人才大厦C座

Phone :

400-9961-933
025-58868422

Email Address

info@sabbiotech.com