免费电话:400-9961-933
邮箱:info@sabbiotech.com
欢迎光临本站
川博智能体 English
位置: 首页 > 多克隆抗体 > SMAD7 Antibody

SMAD7 Antibody #37036

是否有货: 有货
产品详情

产品名称SMAD7 Antibody

来源种属Rabbit

克隆性Polyclonal

纯化Antigen affinity purification.

应用WB IHC

种属反应性Human;Mouse;Rat

特异性The antibody detects endogenous levels of total SMAD7 protein.

免疫原类型Peptide

免疫原描述Synthetic peptide corresponding to a region derived from internal residues of human SMAD family member 7

基因/蛋白名称SMAD7

标记Unconjugated

别名CRCS3; MADH7; MADH8

数据库入口号Swiss-Prot#: O15105
NCBI Gene ID: 4092
Gene Accssion: NP_005895

Uniprot O15105

实际分子量46kd

浓度2.1mg/ml

配方Rabbit IgG in pH7.3 PBS, 0.05% NaN3, 50% Glycerol.

保存Store at -20˚C

应用详情
Western blotting: 1:500-1:2000
Immunohistochemistry: 1:50-1:200
Gel: 10%SDS-PAGE
Lysates (from left to right): Mouse heart tissue
Amount of lysate: 40ug per lane
Primary antibody: 1/1000 dilution
Secondary antibody dilution: 1/8000
Exposure time: 40 seconds
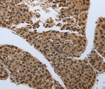
Immunohistochemical analysis of paraffin-embedded Human liver cancer tissue using #37036 at dilution 1/60.
The protein encoded by this gene is a nuclear protein that binds the E3 ubiquitin ligase SMURF2. Upon binding, this complex translocates to the cytoplasm, where it interacts with TGF-beta receptor type-1 (TGFBR1), leading to the degradation of both the encoded protein and TGFBR1. Expression of this gene is induced by TGFBR1. Variations in this gene are a cause of susceptibility to colorectal cancer type 3 (CRCS3). Several transcript variants encoding different isoforms have been found for this gene.

如果您使用该产品37036发表了文章,请通知我们,让我们可以引用您的文献。

et al,TGF β1 mediated Smad signaling pathway and EMT in hepatic fibrosis induced by Nano NiO in vivo and in vitro.In Environ Toxicol on 2020 Apr by Zhang Q, Chang X ,et al..PMID: 31737983 , (2020),
PMID: 31737983
et al,ADAMTS13 attenuates renal fibrosis by suppressing thrombospondin 1 mediated TGF-β1/Smad3 activation. , (2025),
PMID: 39929281

注释

应用

  • WB免疫印迹
  • IHC免疫组化
  • IF免疫荧光
  • ICC免疫细胞化学
  • FC流式细胞
  • IP免疫沉淀
  • E酶联免疫吸附法
  • DB免疫斑点法
  • ChIP染色质免疫沉淀
  • GICA胶体金免疫层析法
  • NC阴性对照

种属反应性

  • Hu
  • Ms小鼠
  • Rt大鼠
  • Dm果蝇
  • C线虫
  • Mk
  • Rb
  • B
  • D
  • P
  • Hm仓鼠
  • ChHm中国仓鼠
  • Chk
;

联系我们

Location :

南京市高新开发区星火路10号人才大厦C座

Phone :

400-9961-933
025-58868422

Email Address

info@sabbiotech.com