免费电话:400-9961-933
邮箱:info@sabbiotech.com
欢迎光临本站
川博智能体 English
位置: 首页 > 多克隆抗体 > ANAPC4 Antibody

ANAPC4 Antibody #37110

是否有货: 有货
产品详情

产品名称ANAPC4 Antibody

来源种属Rabbit

克隆性Polyclonal

纯化Antigen affinity purification.

应用WB IHC

种属反应性Human;Mouse

特异性The antibody detects endogenous levels of total ANAPC4 protein.

免疫原类型Peptide

免疫原描述Synthetic peptide corresponding to a region derived from internal residues of human anaphase promoting complex subunit 4

基因/蛋白名称ANAPC4

标记Unconjugated

别名APC4

数据库入口号Swiss-Prot#: Q9UJX5
NCBI Gene ID: 29945
Gene Accssion: NP_037499

Uniprot Q9UJX5

实际分子量92kd

浓度2.6mg/ml

配方Rabbit IgG in pH7.3 PBS, 0.05% NaN3, 50% Glycerol.

保存Store at -20˚C

应用详情
Western blotting: 1:200-1:1000
Immunohistochemistry: 1:50-1:200
Gel: 6%SDS-PAGE
Lysates (from left to right): HepG2, 231 and hela cell
Amount of lysate: 40ug per lane
Primary antibody: 1/300 dilution
Secondary antibody dilution: 1/8000
Exposure time: 1 minute
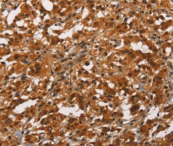
Immunohistochemical analysis of paraffin-embedded Human thyroid cancer tissue using #37110 at dilution 1/50.
A large protein complex, termed the anaphase-promoting complex (APC), or the cyclosome, promotes metaphase-anaphase transition by ubiquitinating its specific substrates such as mitotic cyclins and anaphase inhibitor, which are subsequently degraded by the 26S proteasome. Biochemical studies have shown that the vertebrate APC contains eight subunits. The composition of the APC is highly conserved in organisms from yeast to humans.?

如果您使用该产品37110发表了文章,请通知我们,让我们可以引用您的文献。

et al,Hybrid-Ligand Metal–Organic Frameworks Enabling Radio–Radiodynamic–Chemodynamic Therapy Primes Checkpoint Blockade Immunotherapy in Hypoxic Tumors , (2025),
PMID: 40802503

注释

应用

  • WB免疫印迹
  • IHC免疫组化
  • IF免疫荧光
  • ICC免疫细胞化学
  • FC流式细胞
  • IP免疫沉淀
  • E酶联免疫吸附法
  • DB免疫斑点法
  • ChIP染色质免疫沉淀
  • GICA胶体金免疫层析法
  • NC阴性对照

种属反应性

  • Hu
  • Ms小鼠
  • Rt大鼠
  • Dm果蝇
  • C线虫
  • Mk
  • Rb
  • B
  • D
  • P
  • Hm仓鼠
  • ChHm中国仓鼠
  • Chk
;

联系我们

Location :

南京市高新开发区星火路10号人才大厦C座

Phone :

400-9961-933
025-58868422

Email Address

info@sabbiotech.com