免费电话:400-9961-933
邮箱:info@sabbiotech.com
欢迎光临本站
川博智能体 English
位置: 首页 > 多克隆抗体 > SP1 Antibody

SP1 Antibody #37251

是否有货: 有货
产品详情

产品名称SP1 Antibody

来源种属Rabbit

克隆性Polyclonal

纯化Antigen affinity purification.

应用WB IHC IF

种属反应性Human;Mouse;Rat

特异性The antibody detects endogenous levels of total SP1 protein.

免疫原类型Peptide

免疫原描述Synthetic peptide corresponding to a region derived from internal residues of human Sp1 transcription factor

基因/蛋白名称SP1

标记Unconjugated

别名SP1; Sp1 transcription factor; specificity protein 1; Transcription factor Sp1; TSFP1

数据库入口号Swiss-Prot#: P08047
NCBI Gene ID: 6667
Gene Accssion: NP_612482.2

Uniprot P08047

浓度1.3mg/ml

配方Rabbit IgG in pH7.3 PBS, 0.05% NaN3, 50% Glycerol.

保存Store at -20˚C

应用详情

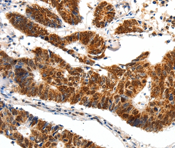
Immunohistochemistry: 1:50-1:200

Immunohistochemical analysis of paraffin-embedded Human colon cancer tissue using #37251 at dilution 1/40.
Immunohistochemical analysis of paraffin-embedded Human ovarian cancer tissue using #37251 at dilution 1/40.

The protein encoded by this gene is a zinc finger transcription factor that binds to GC-rich motifs of many promoters. The encoded protein is involved in many cellular processes, including cell differentiation, cell growth, apoptosis, immune responses, response to DNA damage, and chromatin remodeling. Post-translational modifications such as phosphorylation, acetylation, glycosylation, and proteolytic processing significantly affect the activity of this protein, which can be an activator or a repressor. Three transcript variants encoding different isoforms have been found for this gene.

如果您使用该产品37251发表了文章,请通知我们,让我们可以引用您的文献。

et al,Long non‐coding RNAs MALAT1 and NEAT1 in non‐syndromic orofacial cleftsIn Oral Dis On2023 MaybyErrui Wang , Yumeng Guo et al..PMID:35255186 , (2023),
PMID: 35255186

注释

应用

  • WB免疫印迹
  • IHC免疫组化
  • IF免疫荧光
  • ICC免疫细胞化学
  • FC流式细胞
  • IP免疫沉淀
  • E酶联免疫吸附法
  • DB免疫斑点法
  • ChIP染色质免疫沉淀
  • GICA胶体金免疫层析法
  • NC阴性对照

种属反应性

  • Hu
  • Ms小鼠
  • Rt大鼠
  • Dm果蝇
  • C线虫
  • Mk
  • Rb
  • B
  • D
  • P
  • Hm仓鼠
  • ChHm中国仓鼠
  • Chk
;

联系我们

Location :

南京市高新开发区星火路10号人才大厦C座

Phone :

400-9961-933
025-58868422

Email Address

info@sabbiotech.com