免费电话:400-9961-933
邮箱:info@sabbiotech.com
欢迎光临本站
川博智能体 English
位置: 首页 > 多克隆抗体 > PIK3C3 Antibody

PIK3C3 Antibody #37356

是否有货: 有货
产品详情

产品名称PIK3C3 Antibody

来源种属Rabbit

克隆性Polyclonal

纯化Antigen affinity purification.

应用IHC

种属反应性Human;Mouse;Rat

特异性The antibody detects endogenous levels of total PIK3C3 protein.

免疫原类型Peptide

免疫原描述Synthetic peptide corresponding to a region derived from internal residues of human phosphatidylinositol 3-kinase, catalytic subunit type 3

基因/蛋白名称PIK3C3

标记Unconjugated

别名VPS34; hVps34

数据库入口号Swiss-Prot#: Q8NEB9
NCBI Gene ID: 5289
Gene Accssion: NP_002638

Uniprot Q8NEB9

浓度1.5mg/ml

配方Rabbit IgG in pH7.3 PBS, 0.05% NaN3, 50% Glycerol.

保存Store at -20˚C

应用详情
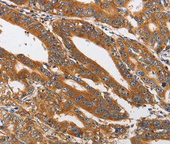
Immunohistochemistry: 1:50-1:200
Immunohistochemical analysis of paraffin-embedded Human colon cancer tissue using #37356 at dilution 1/40.
Immunohistochemical analysis of paraffin-embedded Human gastric cancer tissue using #37356 at dilution 1/40.
Phosphatidylinositol 3-kinase catalytic subunit type 3?is an?enzyme?that in humans is encoded by thePIK3C3?gene. PI3KC3 is a catalytic subunit of the PI3K complex involved in the transport of lysosomal enzyme precursors to lysosomes. This enzyme acts catalytically to convert 1-phosphatidyl-1D-myo-inositol to 1-phosphatidyl-1D-myo-inositol 3-phosphate Macroautophagy is the major inducible pathway for the general turnover of cytoplasmic constituents in eukaryotic cells, it is also responsible for the degradation of active cytoplasmic enzymes and organelles during nutrient starvation.

如果您使用该产品37356发表了文章,请通知我们,让我们可以引用您的文献。

et al,CSF-1R regulates non-small cell lung cancer cells dissemination through Wnt3a signaling. , (2017),
PMID: 29218239

注释

应用

  • WB免疫印迹
  • IHC免疫组化
  • IF免疫荧光
  • ICC免疫细胞化学
  • FC流式细胞
  • IP免疫沉淀
  • E酶联免疫吸附法
  • DB免疫斑点法
  • ChIP染色质免疫沉淀
  • GICA胶体金免疫层析法
  • NC阴性对照

种属反应性

  • Hu
  • Ms小鼠
  • Rt大鼠
  • Dm果蝇
  • C线虫
  • Mk
  • Rb
  • B
  • D
  • P
  • Hm仓鼠
  • ChHm中国仓鼠
  • Chk
;

联系我们

Location :

南京市高新开发区星火路10号人才大厦C座

Phone :

400-9961-933
025-58868422

Email Address

info@sabbiotech.com