免费电话:400-9961-933
邮箱:info@sabbiotech.com
欢迎光临本站
川博智能体 English
位置: 首页 > 多克隆抗体 > PIK3R2 Antibody

PIK3R2 Antibody #37372

是否有货: 有货
产品详情

产品名称PIK3R2 Antibody

来源种属Rabbit

克隆性Polyclonal

纯化Antigen affinity purification.

应用WB IHC

种属反应性Human;Rat

特异性The antibody detects endogenous levels of total PIK3R2 protein.

免疫原类型Peptide

免疫原描述Synthetic peptide corresponding to residues near the C terminal of human phosphoinositide-3-kinase, regulatory subunit 2 (beta)

基因/蛋白名称PIK3R2

标记Unconjugated

别名p85; MPPH; P85B; p85-BETA

数据库入口号Swiss-Prot#: O00459
NCBI Gene ID: 5296
Gene Accssion: NP_005018

Uniprot O00459

实际分子量82kd

浓度2.8mg/ml

配方Rabbit IgG in pH7.3 PBS, 0.05% NaN3, 50% Glycerol.

保存Store at -20˚C

应用详情
Western blotting: 1:200-1:1000
Immunohistochemistry: 1:50-1:100
Gel: 8%SDS-PAGE
Lysates (from left to right): Raji, A549, A431 and K562 cell
Amount of lysate: 40ug per lane
Primary antibody: 1/233 dilution
Secondary antibody dilution: 1/8000
Exposure time: 2 minutes
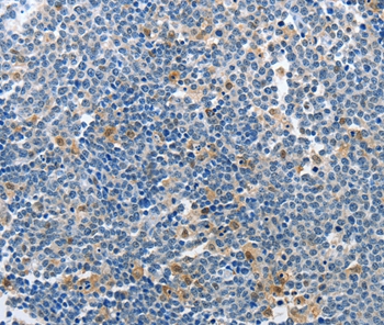
Immunohistochemical analysis of paraffin-embedded Human lymphoma tissue using #37372 at dilution 1/70.
Phosphatidylinositol 3-kinase (PI3K) is a lipid kinase that phosphorylates phosphatidylinositol and similar compounds, creating second messengers important in growth signaling pathways. PI3K functions as a heterodimer of a regulatory and a catalytic subunit. The protein encoded by this gene is a regulatory component of PI3K. Two transcript variants, one protein coding and the other non-protein coding, have been found for this gene.

如果您使用该产品37372发表了文章,请通知我们,让我们可以引用您的文献。

et al,HIF-1α-induced up-regulation of microRNA-126 contributes to the effectiveness of exercise training on myocardial angiogenesis in myocardial infarction rats. In J Cell Mol Med on 2020 Nov by Wei Song, Qiaoqin Liang,et al..PMID:32939968 , (2020),
PMID: 32939968

注释

应用

  • WB免疫印迹
  • IHC免疫组化
  • IF免疫荧光
  • ICC免疫细胞化学
  • FC流式细胞
  • IP免疫沉淀
  • E酶联免疫吸附法
  • DB免疫斑点法
  • ChIP染色质免疫沉淀
  • GICA胶体金免疫层析法
  • NC阴性对照

种属反应性

  • Hu
  • Ms小鼠
  • Rt大鼠
  • Dm果蝇
  • C线虫
  • Mk
  • Rb
  • B
  • D
  • P
  • Hm仓鼠
  • ChHm中国仓鼠
  • Chk
;

联系我们

Location :

南京市高新开发区星火路10号人才大厦C座

Phone :

400-9961-933
025-58868422

Email Address

info@sabbiotech.com