免费电话:400-9961-933
邮箱:info@sabbiotech.com
欢迎光临本站
川博智能体 English
位置: 首页 > 多克隆抗体 > PIK3R3 Antibody

PIK3R3 Antibody #37373

是否有货: 有货
产品详情

产品名称PIK3R3 Antibody

来源种属Rabbit

克隆性Polyclonal

纯化Antigen affinity purification.

应用WB IHC

种属反应性Human;Mouse

特异性The antibody detects endogenous levels of total PIK3R3 protein.

免疫原类型Peptide

免疫原描述Synthetic peptide corresponding to a region derived from internal residues of human phosphoinositide-3-kinase, regulatory subunit 3 (gamma)

基因/蛋白名称PIK3R3

标记Unconjugated

别名p55; p55-GAMMA

数据库入口号Swiss-Prot#: Q92569
NCBI Gene ID: 8503
Gene Accssion: NP_001107644

Uniprot Q92569

实际分子量54kd

浓度1mg/ml

配方Rabbit IgG in pH7.3 PBS, 0.05% NaN3, 50% Glycerol.

保存Store at -20˚C

应用详情
Western blotting: 1:500-1:2000
Immunohistochemistry: 1:25-1:100
Gel: 10%SDS-PAGE
Lysates (from left to right): Mouse brain, human fetal brain and mouse testis tissue, hela cell and human fetal kidney tissue
Amount of lysate: 40ug per lane
Primary antibody: 1/250 dilution
Secondary antibody dilution: 1/8000
Exposure time: 2 minutes
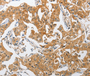
Immunohistochemical analysis of paraffin-embedded Human colon cancer tissue using #37373 at dilution 1/25.
Phosphatidylinositol 3-kinase is a lipid kinase that phosphorylates the inositol ring of phosphatidylinositol and related compounds at the 3¡¯ position. PI 3-kinase p55 (PIK3R3) is comprised of a catalytic subunit and a regulatory subunit. The human p55 protein is composed of a rare amino terminal region followed by a proline-rich motif and two Src homology 2 (SH2) domains. PI 3-kinase p55 mRNAs are expressed in most human fetal and adult tissues; predominant expression is observed in the adult testis. Splice variant(s) of PI 3-kinase p55 have been identified; one of which has a deletion of 36 amino acids at the amino terminus and another which has an insertion of 59 amino acids at position 256 between the SH2 domains. Research suggests that PI 3-kinase p55 interacts with the IGFIR (Insulin-like growth factor-I receptor) and IR (Insulin receptor) and may be involved in PI 3-kinase activation by these receptors.

如果您使用该产品37373发表了文章,请通知我们,让我们可以引用您的文献。

et al,CSF-1R regulates non-small cell lung cancer cells dissemination through Wnt3a signaling. , (2017),
PMID: 29218239

注释

应用

  • WB免疫印迹
  • IHC免疫组化
  • IF免疫荧光
  • ICC免疫细胞化学
  • FC流式细胞
  • IP免疫沉淀
  • E酶联免疫吸附法
  • DB免疫斑点法
  • ChIP染色质免疫沉淀
  • GICA胶体金免疫层析法
  • NC阴性对照

种属反应性

  • Hu
  • Ms小鼠
  • Rt大鼠
  • Dm果蝇
  • C线虫
  • Mk
  • Rb
  • B
  • D
  • P
  • Hm仓鼠
  • ChHm中国仓鼠
  • Chk
;

联系我们

Location :

南京市高新开发区星火路10号人才大厦C座

Phone :

400-9961-933
025-58868422

Email Address

info@sabbiotech.com