免费电话:400-9961-933
邮箱:info@sabbiotech.com
欢迎光临本站
川博智能体 English
位置: 首页 > 多克隆抗体 > THBS1 Antibody

THBS1 Antibody #37384

是否有货: 有货
产品详情

产品名称THBS1 Antibody

来源种属Rabbit

克隆性Polyclonal

纯化Antigen affinity purification.

应用WB IHC

种属反应性Human

特异性The antibody detects endogenous levels of total THBS1 protein.

免疫原类型Peptide

免疫原描述Synthetic peptide corresponding to a region derived from internal residues of human thrombospondin 1

基因/蛋白名称THBS1

标记Unconjugated

别名TSP; THBS; TSP1; TSP-1; THBS-1

数据库入口号Swiss-Prot#: P07996
NCBI Gene ID: 7057
Gene Accssion: NP_003237

Uniprot P07996

实际分子量129kd

浓度1.9mg/ml

配方Rabbit IgG in pH7.3 PBS, 0.05% NaN3, 50% Glycerol.

保存Store at -20˚C

应用详情
Western blotting: 1:200-1:1000
Immunohistochemistry: 1:50-1:200
Gel: 8%SDS-PAGE
Lysates (from left to right): A431 and Huvec cell
Amount of lysate: 40ug per lane
Primary antibody: 1/250 dilution
Secondary antibody dilution: 1/8000
Exposure time: 5 minutes
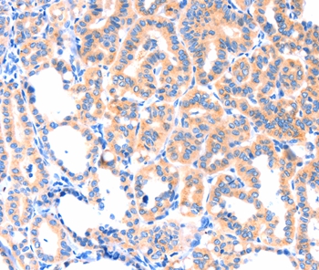
Immunohistochemical analysis of paraffin-embedded Human thyroid cancer tissue using #37384 at dilution 1/50.
The protein encoded by this gene is a subunit of a disulfide-linked homotrimeric protein. This protein is an adhesive glycoprotein that mediates cell-to-cell and cell-to-matrix interactions. This protein can bind to fibrinogen, fibronectin, laminin, type V collagen and integrins alpha-V/beta-1. This protein has been shown to play roles in platelet aggregation, angiogenesis, and tumorigenesis.

如果您使用该产品37384发表了文章,请通知我们,让我们可以引用您的文献。

et al,Differential expression of pro-and anti-angiogenic factors in the endometrium between repeat breeder and normally fertile cowsInAnim Reprod SciOn2023 JulbyKen-Go Hayashi?1,?Ryosuke Sakumoto et al..PMID:?37270879 , (2023),
PMID: 37270879
et al,ADAMTS13 attenuates renal fibrosis by suppressing thrombospondin 1 mediated TGF-β1/Smad3 activation. , (2025),
PMID: 39929281

注释

应用

  • WB免疫印迹
  • IHC免疫组化
  • IF免疫荧光
  • ICC免疫细胞化学
  • FC流式细胞
  • IP免疫沉淀
  • E酶联免疫吸附法
  • DB免疫斑点法
  • ChIP染色质免疫沉淀
  • GICA胶体金免疫层析法
  • NC阴性对照

种属反应性

  • Hu
  • Ms小鼠
  • Rt大鼠
  • Dm果蝇
  • C线虫
  • Mk
  • Rb
  • B
  • D
  • P
  • Hm仓鼠
  • ChHm中国仓鼠
  • Chk
;

联系我们

Location :

南京市高新开发区星火路10号人才大厦C座

Phone :

400-9961-933
025-58868422

Email Address

info@sabbiotech.com