免费电话:400-9961-933
邮箱:info@sabbiotech.com
欢迎光临本站
川博智能体 English
位置: 首页 > 多克隆抗体 > SH2B2 Antibody

SH2B2 Antibody#37426

是否有货: 有货
产品详情

产品名称SH2B2 Antibody

来源种属Rabbit

克隆性Polyclonal

纯化Antigen affinity purification.

应用IHC

种属反应性Human

特异性The antibody detects endogenous levels of total SH2B2 protein.

免疫原类型Peptide

免疫原描述Synthetic peptide corresponding to residues near the C terminal of human SH2B adaptor protein 2

基因/蛋白名称SH2B2

标记Unconjugated

别名APS

数据库入口号Swiss-Prot#: O14492
NCBI Gene ID: 10603
Gene Accssion: NP_066189

Uniprot O14492

浓度4.3mg/ml

配方Rabbit IgG in pH7.3 PBS, 0.05% NaN3, 50% Glycerol.

保存Store at -20˚C

应用详情
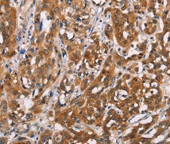
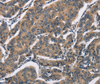
Immunohistochemistry: 1:25-1:100
Immunohistochemical analysis of paraffin-embedded Human breast cancer tissue using #37426 at dilution 1/30.
Immunohistochemical analysis of paraffin-embedded Human esophagus cancer tissue using #37426 at dilution 1/30.
The protein encoded by this gene is expressed in B lymphocytes and contains pleckstrin homology and src homology 2 (SH2) domains. In Burkitt's lymphoma cell lines, it is tyrosine-phosphorylated in response to B cell receptor stimulation. Because it binds Shc independent of stimulation and Grb2 after stimulation, it appears to play a role in signal transduction from the receptor to the Shc/Grb2 pathway.

如果您使用该产品37426发表了文章,请通知我们,让我们可以引用您的文献。

注释

应用

  • WB免疫印迹
  • IHC免疫组化
  • IF免疫荧光
  • ICC免疫细胞化学
  • FC流式细胞
  • IP免疫沉淀
  • E酶联免疫吸附法
  • DB免疫斑点法
  • ChIP染色质免疫沉淀
  • GICA胶体金免疫层析法
  • NC阴性对照

种属反应性

  • Hu
  • Ms小鼠
  • Rt大鼠
  • Dm果蝇
  • C线虫
  • Mk
  • Rb
  • B
  • D
  • P
  • Hm仓鼠
  • ChHm中国仓鼠
  • Chk
;

联系我们

Location :

南京市高新开发区星火路10号人才大厦C座

Phone :

400-9961-933
025-58868422

Email Address

info@sabbiotech.com