免费电话:400-9961-933
邮箱:info@sabbiotech.com
欢迎光临本站
川博智能体 English
位置: 首页 > 多克隆抗体 > STK3/STK4 Antibody

STK3/STK4 Antibody #37462

是否有货: 有货
产品详情

产品名称STK3/STK4 Antibody

来源种属Rabbit

克隆性Polyclonal

纯化Antigen affinity purification.

应用WB IHC

种属反应性Human;Mouse

特异性The antibody detects endogenous levels of total STK3/STK4 protein.

免疫原类型Peptide

免疫原描述Synthetic peptide corresponding to a region derived from internal residues of human serine threonine kinase 3/4

基因/蛋白名称STK3-STK4

标记Unconjugated

别名KRS1; MST2/KRS2; MST1; YSK3; TIIAC

数据库入口号Swiss-Prot#: Q13043
NCBI Gene ID: 6789
Gene Accssion: NP_006273

Uniprot Q13043

实际分子量56kd

浓度3mg/ml

配方Rabbit IgG in pH7.3 PBS, 0.05% NaN3, 50% Glycerol.

保存Store at -20˚C

应用详情
Western blotting: 1:500-1:2000
Immunohistochemistry: 1:50-1:200
Gel: 6%SDS-PAGE
Lysates (from left to right): Human bladder carcinoma tissue and A172 cell, human brain malignant glioma tissue
Amount of lysate: 40ug per lane
Primary antibody: 1/1000 dilution
Secondary antibody dilution: 1/8000
Exposure time: 10 seconds
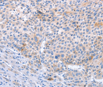
Immunohistochemical analysis of paraffin-embedded Human colon cancer tissue using #37462 at dilution 1/70.
Sterile-20 (Ste20) is a serine/threonine kinase in Saccharomyces cerevisiae that is involved in relaying signals from G protein-coupled receptors to cyto-solic MAP kinase cascades. Mammalian protein kinases that display sequence similarity to Ste20 are divided into two groups, the PAK subfamily and the GCK subfamily.?The mammalian Ste20-like kinases (MST kinases), also known as Krs proteins, are members of the GCK subfamily. Ksr-1 (MST-2) and Ksr-2 (MST-1) are both direct substrates of caspase-3 that accelerate caspase-3 activation.

如果您使用该产品37462发表了文章,请通知我们,让我们可以引用您的文献。

et al,RAS-association domain family 1A regulates the abnormal cell proliferation in psoriasis via inhibition of Yes-associated protein , (2021),
PMID: 33960627

注释

应用

  • WB免疫印迹
  • IHC免疫组化
  • IF免疫荧光
  • ICC免疫细胞化学
  • FC流式细胞
  • IP免疫沉淀
  • E酶联免疫吸附法
  • DB免疫斑点法
  • ChIP染色质免疫沉淀
  • GICA胶体金免疫层析法
  • NC阴性对照

种属反应性

  • Hu
  • Ms小鼠
  • Rt大鼠
  • Dm果蝇
  • C线虫
  • Mk
  • Rb
  • B
  • D
  • P
  • Hm仓鼠
  • ChHm中国仓鼠
  • Chk
;

联系我们

Location :

南京市高新开发区星火路10号人才大厦C座

Phone :

400-9961-933
025-58868422

Email Address

info@sabbiotech.com