免费电话:400-9961-933
邮箱:info@sabbiotech.com
欢迎光临本站
川博智能体 English
位置: 首页 > 多克隆抗体 > CD2AP Antibody

CD2AP Antibody #37468

是否有货: 有货
产品详情

产品名称CD2AP Antibody

来源种属Rabbit

克隆性Polyclonal

纯化Antigen affinity purification.

应用WB IHC

种属反应性Human

特异性The antibody detects endogenous levels of total CD2AP protein.

免疫原类型Peptide

免疫原描述Synthetic peptide corresponding to a region derived from internal residues of human CD2-associated protein

基因/蛋白名称CD2AP

标记Unconjugated

别名CMS

数据库入口号Swiss-Prot#: Q9Y5K6
NCBI Gene ID: 23607
Gene Accssion: NP_036252

Uniprot Q9Y5K6

实际分子量71kd

浓度3mg/ml

配方Rabbit IgG in pH7.3 PBS, 0.05% NaN3, 50% Glycerol.

保存Store at -20˚C

应用详情
Western blotting: 1:1000-1:5000
Immunohistochemistry: 1:100-1:300
Gel: 6%SDS-PAGE
Lysates (from left to right): A431 and Raji cell
Amount of lysate: 40ug per lane
Primary antibody: 1/1000 dilution
Secondary antibody dilution: 1/8000
Exposure time: 1 second
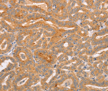
Immunohistochemical analysis of paraffin-embedded Human thyroid cancer tissue using #37468 at dilution 1/70.
This gene encodes a scaffolding molecule that regulates the actin cytoskeleton. The protein directly interacts with filamentous actin and a variety of cell membrane proteins through multiple actin binding sites, SH3 domains, and a proline-rich region containing binding sites for SH3 domains. The cytoplasmic protein localizes to membrane ruffles, lipid rafts, and the leading edges of cells. It is implicated in dynamic actin remodeling and membrane trafficking that occurs during receptor endocytosis and cytokinesis. Haploinsufficiency of this gene is implicated in susceptibility to glomerular disease.

如果您使用该产品37468发表了文章,请通知我们,让我们可以引用您的文献。

et al,Tangzhiqing granules alleviate podocyte epithelial-mesenchymal transition in kidney of diabetic rats.In Evid Based Complement Alternat Med on 2017 Jan 10 by Haiyan Xu, Xu Wang,et al..PMID: 28163747 , (2017),
PMID: 28163747

注释

应用

  • WB免疫印迹
  • IHC免疫组化
  • IF免疫荧光
  • ICC免疫细胞化学
  • FC流式细胞
  • IP免疫沉淀
  • E酶联免疫吸附法
  • DB免疫斑点法
  • ChIP染色质免疫沉淀
  • GICA胶体金免疫层析法
  • NC阴性对照

种属反应性

  • Hu
  • Ms小鼠
  • Rt大鼠
  • Dm果蝇
  • C线虫
  • Mk
  • Rb
  • B
  • D
  • P
  • Hm仓鼠
  • ChHm中国仓鼠
  • Chk
;

联系我们

Location :

南京市高新开发区星火路10号人才大厦C座

Phone :

400-9961-933
025-58868422

Email Address

info@sabbiotech.com