免费电话:400-9961-933
邮箱:info@sabbiotech.com
欢迎光临本站
川博智能体 English
位置: 首页 > 多克隆抗体 > CTAG1A/B Antibody

CTAG1A/B Antibody #37512

是否有货: 有货
产品详情

产品名称CTAG1A/B Antibody

来源种属Rabbit

克隆性Polyclonal

纯化Antigen affinity purification.

应用IHC

种属反应性Human

特异性The antibody detects endogenous levels of total CTAG1A/B protein.

免疫原类型Peptide

免疫原描述Synthetic peptide corresponding to a region derived from internal residues of human Cancer/testis antigen 1

基因/蛋白名称CTAG1A-B

标记Unconjugated

别名CTAG; CTAG1; ESO1; LAGE2; LAGE2A/CTAG1B

数据库入口号Swiss-Prot#: P78358
NCBI Gene ID: 246100/1485
Gene Accssion: NP_640343/NP_001318

Uniprot P78358

浓度1.8mg/ml

配方Rabbit IgG in pH7.3 PBS, 0.05% NaN3, 50% Glycerol.

保存Store at -20˚C

应用详情
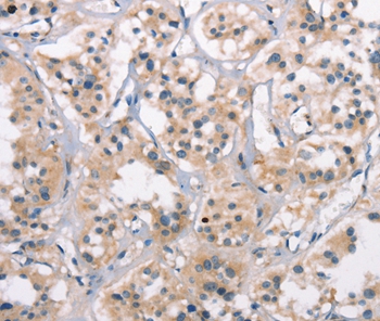
Immunohistochemistry: 1:25-1:100
Immunohistochemical analysis of paraffin-embedded Human gastric cancer tissue using #37512 at dilution 1/25.
Immunohistochemical analysis of paraffin-embedded Human thyroid cancer tissue using #37512 at dilution 1/25.
The protein encoded by this gene is an antigen that is overexpressed in many cancers but that is also expressed in normal testis. This gene is found in a duplicated region of the X-chromosome and therefore has a neighboring gene of identical sequence. Expressed in testis and ovary and in a wide variety of cancers. Detected in uterine myometrium. Expressed from 18 weeks until birth in human fetal testis. In the adult testis, is strongly expressed in spermatogonia and in primary spermatocytes, but not in post-meiotic cells or in testicular somatic cells (at protein level).

如果您使用该产品37512发表了文章,请通知我们,让我们可以引用您的文献。

et al,Establishment of cancer/testis antigen profiling based on clinicopathological characteristics in resected pathological stage III non-small cell lung cancer.In Cancer Manag Res.On 2018 Jul 16 by Jin S, Cao S et al..PMID: 30038519 , (2018),
PMID: 30038519

注释

应用

  • WB免疫印迹
  • IHC免疫组化
  • IF免疫荧光
  • ICC免疫细胞化学
  • FC流式细胞
  • IP免疫沉淀
  • E酶联免疫吸附法
  • DB免疫斑点法
  • ChIP染色质免疫沉淀
  • GICA胶体金免疫层析法
  • NC阴性对照

种属反应性

  • Hu
  • Ms小鼠
  • Rt大鼠
  • Dm果蝇
  • C线虫
  • Mk
  • Rb
  • B
  • D
  • P
  • Hm仓鼠
  • ChHm中国仓鼠
  • Chk
;

联系我们

Location :

南京市高新开发区星火路10号人才大厦C座

Phone :

400-9961-933
025-58868422

Email Address

info@sabbiotech.com