免费电话:400-9961-933
邮箱:info@sabbiotech.com
欢迎光临本站
川博智能体 English
位置: 首页 > 多克隆抗体 > EMP2 Antibody

EMP2 Antibody #37546

是否有货: 有货
产品详情

产品名称EMP2 Antibody

来源种属Rabbit

克隆性Polyclonal

纯化Antigen affinity purification.

应用IHC

种属反应性Human

特异性The antibody detects endogenous levels of total EMP2 protein.

免疫原类型Peptide

免疫原描述Synthetic peptide corresponding to a region derived from internal residues of human epithelial membrane protein 2

基因/蛋白名称EMP2

标记Unconjugated

别名XMP

数据库入口号Swiss-Prot#: P54851
NCBI Gene ID: 2013
Gene Accssion: NP_001415

Uniprot P54851

浓度1.5mg/ml

配方Rabbit IgG in pH7.3 PBS, 0.05% NaN3, 50% Glycerol.

保存Store at -20˚C

应用详情
Immunohistochemistry: 1:25-1:100
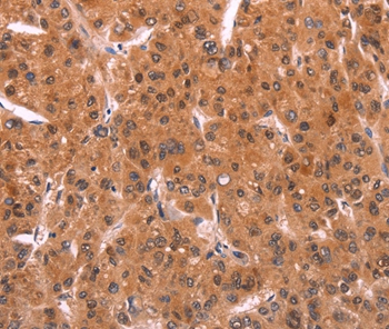
Immunohistochemical analysis of paraffin-embedded Human liver cancer tissue using #37546 at dilution 1/20.
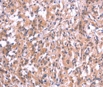
Immunohistochemical analysis of paraffin-embedded Human thyroid cancer tissue using #37546 at dilution 1/20.
EMP-2 (epithelial membrane protein 2), also known as XMP, is a 167 amino acid multi-pass membrane protein that contains four-transmembrane domains and belongs to the GAS3/PMP22 (growth arrest-specific-3/peripheral myelin protein-22) family. Localized to lipid raft domains in the plasma membrane, EMP-2 regulates the expression of several target proteins and is necessary for blastocyst implantation in the uterine endometrium. Specifically, EMP-2 mediates blastocyst implantation by controlling the cell membrane expression of MHC and glycosylphosphatidylinositol-anchored proteins, as well as Integrins and caveolin-1. In adult tissues, EMP-2 is expressed in heart, lung, ovary and intestine, while fetal expression is highest in kidney, brain and liver. Overexpression of EMP-2 is associated with endometrial adenocarcinoma, suggesting a possible role for EMP-2 in tumorigenesis.

如果您使用该产品37546发表了文章,请通知我们,让我们可以引用您的文献。

et al,Epithelial membrane proteIn 2: a novel biomarker for circulatIng tumor cell recovery In breast cancer. In ClIn Transl Oncol on 2019 Apr by Chen Q, Yao L, et al..PMID:30218306 , (2019),
PMID: 30218306

注释

应用

  • WB免疫印迹
  • IHC免疫组化
  • IF免疫荧光
  • ICC免疫细胞化学
  • FC流式细胞
  • IP免疫沉淀
  • E酶联免疫吸附法
  • DB免疫斑点法
  • ChIP染色质免疫沉淀
  • GICA胶体金免疫层析法
  • NC阴性对照

种属反应性

  • Hu
  • Ms小鼠
  • Rt大鼠
  • Dm果蝇
  • C线虫
  • Mk
  • Rb
  • B
  • D
  • P
  • Hm仓鼠
  • ChHm中国仓鼠
  • Chk
;

联系我们

Location :

南京市高新开发区星火路10号人才大厦C座

Phone :

400-9961-933
025-58868422

Email Address

info@sabbiotech.com