免费电话:400-9961-933
邮箱:info@sabbiotech.com
欢迎光临本站
川博智能体 English
位置: 首页 > 多克隆抗体 > GH1 Antibody

GH1 Antibody #37591

是否有货: 有货
产品详情

产品名称GH1 Antibody

来源种属Rabbit

克隆性Polyclonal

纯化Antigen affinity purification.

应用WB IHC

种属反应性Human

特异性The antibody detects endogenous levels of total GH1 protein.

免疫原类型Peptide

免疫原描述Synthetic peptide corresponding to a region derived from internal residues of human growth hormone 1

基因/蛋白名称GH1

标记Unconjugated

别名GH; GHN; GH-N; hGH-N; IGHD1B

数据库入口号Swiss-Prot#: P01241
NCBI Gene ID: 2688
Gene Accssion: NP_000506

Uniprot P01241

实际分子量25kd

浓度2mg/ml

配方Rabbit IgG in pH7.3 PBS, 0.05% NaN3, 50% Glycerol.

保存Store at -20˚C

应用详情
Western blotting: 1:200-1:1000
Immunohistochemistry: 1:50-1:200
Gel: 10%SDS-PAGE
Lysates (from left to right): Human placenta tissue
Amount of lysate: 40ug per lane
Primary antibody: 1/500 dilution
Secondary antibody dilution: 1/8000
Exposure time: 1 second
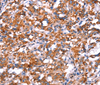
Immunohistochemical analysis of paraffin-embedded Human thyroid cancer tissue using #37591 at dilution 1/40.
The protein encoded by this gene is a member of the somatotropin/prolactin family of hormones which play an important role in growth control. The gene, along with four other related genes, is located at the growth hormone locus on chromosome 17 where they are interspersed in the same transcriptional orientation; an arrangement which is thought to have evolved by a series of gene duplications. The five genes share a remarkably high degree of sequence identity. Alternative splicing generates additional isoforms of each of the five growth hormones, leading to further diversity and potential for specialization. This particular family member is expressed in the pituitary but not in placental tissue as is the case for the other four genes in the growth hormone locus. Mutations in or deletions of the gene lead to growth hormone deficiency and short stature.

如果您使用该产品37591发表了文章,请通知我们,让我们可以引用您的文献。

et al,Expression, Purification and Characterization of the Authentic Form of Human Growth Hormone Receptor Antagonist G120R-hGH Obtained in Escherichia Coli Periplasmic Space.In Protein Expr Purif on 2017 Mar by Ana C S C Menezes, Miriam F Suzuki,et al..PMID: 28013084 , (2017),
PMID: 28013084

注释

应用

  • WB免疫印迹
  • IHC免疫组化
  • IF免疫荧光
  • ICC免疫细胞化学
  • FC流式细胞
  • IP免疫沉淀
  • E酶联免疫吸附法
  • DB免疫斑点法
  • ChIP染色质免疫沉淀
  • GICA胶体金免疫层析法
  • NC阴性对照

种属反应性

  • Hu
  • Ms小鼠
  • Rt大鼠
  • Dm果蝇
  • C线虫
  • Mk
  • Rb
  • B
  • D
  • P
  • Hm仓鼠
  • ChHm中国仓鼠
  • Chk
;

联系我们

Location :

南京市高新开发区星火路10号人才大厦C座

Phone :

400-9961-933
025-58868422

Email Address

info@sabbiotech.com