免费电话:400-9961-933
邮箱:info@sabbiotech.com
欢迎光临本站
川博智能体 English
位置: 首页 > 多克隆抗体 > GNAT3 Antibody

GNAT3 Antibody #37600

是否有货: 有货
产品详情

产品名称GNAT3 Antibody

来源种属Rabbit

克隆性Polyclonal

纯化Antigen affinity purification.

应用IHC

种属反应性Human;Mouse;Rat

特异性The antibody detects endogenous levels of total GNAT3 protein.

免疫原类型Peptide

免疫原描述Synthetic peptide corresponding to residues near the N terminal of human guanine nucleotide binding protein, alpha transducing 3

基因/蛋白名称GNAT3

标记Unconjugated

别名GDCA

数据库入口号Swiss-Prot#: A8MTJ3
NCBI Gene ID: 346562
Gene Accssion: NP_001095856

Uniprot A8MTJ3

浓度1.4mg/ml

配方Rabbit IgG in pH7.3 PBS, 0.05% NaN3, 50% Glycerol.

保存Store at -20˚C

应用详情
Immunohistochemistry: 1:25-1:100
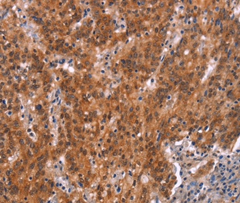
Immunohistochemical analysis of paraffin-embedded Human gastric cancer tissue using #37600 at dilution 1/15.
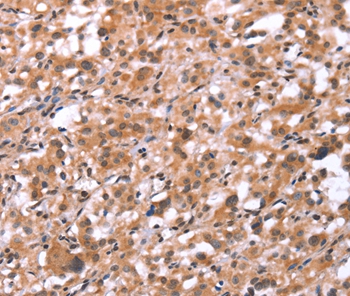
Immunohistochemical analysis of paraffin-embedded Human thyroid cancer tissue using #37600 at dilution 1/15.
Guanine nucleotide-binding protein G(t) subunit alpha-3, also known as gustducin alpha-3 chain, is a protein that in humans is encoded by the GNAT3 gene. GNAT3 can functionally couple to taste receptors to transmit intracellular signal: receptor heterodimer TAS1R2/TAS1R3 senses sweetness and TAS1R1/TAS1R3 transduces umami taste, whereas the T2R family GPCRs act as bitter sensors.

如果您使用该产品37600发表了文章,请通知我们,让我们可以引用您的文献。

et al,DDTC-Cu (I) Nano-MOF Induces Ferroptosis by Targeting SLC7A11/GPX4 Signal in Colorectal Cancer , (2025),
PMID: 40491359

注释

应用

  • WB免疫印迹
  • IHC免疫组化
  • IF免疫荧光
  • ICC免疫细胞化学
  • FC流式细胞
  • IP免疫沉淀
  • E酶联免疫吸附法
  • DB免疫斑点法
  • ChIP染色质免疫沉淀
  • GICA胶体金免疫层析法
  • NC阴性对照

种属反应性

  • Hu
  • Ms小鼠
  • Rt大鼠
  • Dm果蝇
  • C线虫
  • Mk
  • Rb
  • B
  • D
  • P
  • Hm仓鼠
  • ChHm中国仓鼠
  • Chk
;

联系我们

Location :

南京市高新开发区星火路10号人才大厦C座

Phone :

400-9961-933
025-58868422

Email Address

info@sabbiotech.com