免费电话:400-9961-933
邮箱:info@sabbiotech.com
欢迎光临本站
川博智能体 English
位置: 首页 > 多克隆抗体 > KCNK9 Antibody

KCNK9 Antibody #37678

是否有货: 有货
产品详情

产品名称KCNK9 Antibody

来源种属Rabbit

克隆性Polyclonal

纯化Antigen affinity purification.

应用WB IHC

种属反应性Human

特异性The antibody detects endogenous levels of total KCNK9 protein.

免疫原类型Peptide

免疫原描述Synthetic peptide corresponding to a region derived from internal residues of human potassium channel, subfamily K, member 9

基因/蛋白名称KCNK9

标记Unconjugated

别名KT3.2; TASK3; K2p9.1; TASK-3

数据库入口号Swiss-Prot#: Q9NPC2
NCBI Gene ID: 51305
Gene Accssion: NP_001269463

Uniprot Q9NPC2

实际分子量42kd

浓度2.8mg/ml

配方Rabbit IgG in pH7.3 PBS, 0.05% NaN3, 50% Glycerol.

保存Store at -20˚C

应用详情
Western blotting: 1:500-1:2000
Immunohistochemistry: 1:100-1:300
Gel: 8%SDS-PAGE
Lysates (from left to right): Human paraneoplastic and normal kidney tissue
Amount of lysate: 40ug per lane
Primary antibody: 1/650 dilution
Secondary antibody dilution: 1/8000
Exposure time: 40 seconds
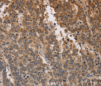
Immunohistochemical analysis of paraffin-embedded Human liver cancer tissue using #37678 at dilution 1/40.
This gene encodes a protein that contains multiple transmembrane regions and two pore-forming P domains and functions as a pH-dependent potassium channel. Amplification and overexpression of this gene have been observed in several types of human carcinomas. This gene is imprinted in the brain, with preferential expression from the maternal allele. A mutation in this gene was associated with Birk-Barel mental retardation dysmorphism syndrome. Alternative splicing results in multiple transcript variants.

如果您使用该产品37678发表了文章,请通知我们,让我们可以引用您的文献。

et al,Potassium channels related to primary aldosteronism: Expression similarities and differences between human and rat adrenals.In Mol Cell Endocrinol on 2015 Dec 5 by Andrew X Chen , Koshiro Nishimoto et al..PMID: 26375812 , (2015),
PMID: 26375812

注释

应用

  • WB免疫印迹
  • IHC免疫组化
  • IF免疫荧光
  • ICC免疫细胞化学
  • FC流式细胞
  • IP免疫沉淀
  • E酶联免疫吸附法
  • DB免疫斑点法
  • ChIP染色质免疫沉淀
  • GICA胶体金免疫层析法
  • NC阴性对照

种属反应性

  • Hu
  • Ms小鼠
  • Rt大鼠
  • Dm果蝇
  • C线虫
  • Mk
  • Rb
  • B
  • D
  • P
  • Hm仓鼠
  • ChHm中国仓鼠
  • Chk
;

联系我们

Location :

南京市高新开发区星火路10号人才大厦C座

Phone :

400-9961-933
025-58868422

Email Address

info@sabbiotech.com