免费电话:400-9961-933
邮箱:info@sabbiotech.com
欢迎光临本站
川博智能体 English
位置: 首页 > 多克隆抗体 > MAGEC1 Antibody

MAGEC1 Antibody #37709

是否有货: 有货
产品详情

产品名称MAGEC1 Antibody

来源种属Rabbit

克隆性Polyclonal

纯化Antigen affinity purification.

应用IHC

种属反应性Human

特异性The antibody detects endogenous levels of total MAGEC1 protein.

免疫原类型Peptide

免疫原描述Synthetic peptide corresponding to a region derived from internal residues of human melanoma antigen family C, 1

基因/蛋白名称MAGEC1

标记Unconjugated

别名CT7; CT7.1

数据库入口号Swiss-Prot#: O60732
NCBI Gene ID: 9947
Gene Accssion: NP_005453

Uniprot O60732

浓度1.9mg/ml

配方Rabbit IgG in pH7.3 PBS, 0.05% NaN3, 50% Glycerol.

保存Store at -20˚C

应用详情
Immunohistochemistry: 1:50-1:200
Immunohistochemical analysis of paraffin-embedded Human ovarian cancer tissue using #37709 at dilution 1/30.
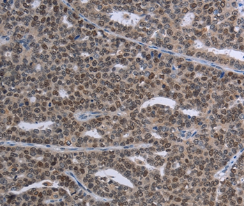
Immunohistochemical analysis of paraffin-embedded Human thyroid cancer tissue using #37709 at dilution 1/30.
This gene is a member of the melanoma antigen gene (MAGE) family. The proteins of this family are tumor-specific antigens that can be recognized by autologous cytolytic T lymphocytes. This protein contains a large number of unique short repetitive sequences in front of the MAGE-homologous sequence, and therefore is about 800 aa longer than the other MAGE proteins.

如果您使用该产品37709发表了文章,请通知我们,让我们可以引用您的文献。

et al,Establishment of cancer/testis antigen profiling based on clinicopathological characteristics in resected pathological stage III non-small cell lung cancer.In Cancer Manag Res.On 2018 Jul 16 by Jin S, Cao S et al..PMID: 30038519 , (2018),
PMID: 30038519

注释

应用

  • WB免疫印迹
  • IHC免疫组化
  • IF免疫荧光
  • ICC免疫细胞化学
  • FC流式细胞
  • IP免疫沉淀
  • E酶联免疫吸附法
  • DB免疫斑点法
  • ChIP染色质免疫沉淀
  • GICA胶体金免疫层析法
  • NC阴性对照

种属反应性

  • Hu
  • Ms小鼠
  • Rt大鼠
  • Dm果蝇
  • C线虫
  • Mk
  • Rb
  • B
  • D
  • P
  • Hm仓鼠
  • ChHm中国仓鼠
  • Chk
;

联系我们

Location :

南京市高新开发区星火路10号人才大厦C座

Phone :

400-9961-933
025-58868422

Email Address

info@sabbiotech.com