免费电话:400-9961-933
邮箱:info@sabbiotech.com
欢迎光临本站
川博智能体 English
位置: 首页 > 多克隆抗体 > NLRP12 Antibody

NLRP12 Antibody #37750

是否有货: 有货
产品详情

产品名称NLRP12 Antibody

来源种属Rabbit

克隆性Polyclonal

纯化Antigen affinity purification.

应用IHC

种属反应性Human

特异性The antibody detects endogenous levels of total NLRP12 protein.

免疫原类型Peptide

免疫原描述Synthetic peptide corresponding to a region derived from internal residues of human NLR family, pyrin domain containing 12

基因/蛋白名称NLRP12

标记Unconjugated

别名RNO; PAN6; RNO2; FCAS2; NALP12; PYPAF7; CLR19.3

数据库入口号Swiss-Prot#: P59046
NCBI Gene ID: 91662
Gene Accssion: NP_653288

Uniprot P59046

浓度1.9mg/ml

配方Rabbit IgG in pH7.3 PBS, 0.05% NaN3, 50% Glycerol.

保存Store at -20˚C

应用详情
Immunohistochemistry: 1:25-1:100
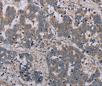
Immunohistochemical analysis of paraffin-embedded Human colon cancer tissue using #37750 at dilution 1/30.
Immunohistochemical analysis of paraffin-embedded Human liver cancer tissue using #37750 at dilution 1/30.
This gene encodes a member of the CATERPILLER family of cytoplasmic proteins. The encoded protein, which contains an N-terminal pyrin domain, a NACHT domain, a NACHT-associated domain, and a C-terminus leucine-rich repeat region, functions as an attenuating factor of inflammation by suppressing inflammatory responses in activated monocytes. Mutations in this gene cause familial cold autoinflammatory syndrome type 2. Alternative splicing results in multiple transcript variants.

如果您使用该产品37750发表了文章,请通知我们,让我们可以引用您的文献。

et al,Porphyromonas gingivalis-Induced NLRP3 Inflammasome Activation and Its Downstream Interleukin-1β Release Depend on Caspase-4,In Front Microbiol on 2020 Aug 13 by Pei-Hui Ding, Meng-Xin Yang, et al..PMID:32903638 , (2020),
PMID: 32903638
et al,A Novel Role for the Regulatory Nod-Like Receptor NLRP12 in Anti-Dengue Virus Response. In Front Immunol on 2021 Dec 9 by Xingyu Li, Zhuo Dong, et al..PMID:34956178 , (2021),
PMID: 34956178
et al,A Novel Role for the Regulatory Nod-Like Receptor NLRP12 in Anti-Dengue Virus Response. In Front Immunol on 2021 Dec 9 by Xingyu Li, Zhuo Dong,et al..PMID:34956178 , (2022),
PMID: 34956178

注释

应用

  • WB免疫印迹
  • IHC免疫组化
  • IF免疫荧光
  • ICC免疫细胞化学
  • FC流式细胞
  • IP免疫沉淀
  • E酶联免疫吸附法
  • DB免疫斑点法
  • ChIP染色质免疫沉淀
  • GICA胶体金免疫层析法
  • NC阴性对照

种属反应性

  • Hu
  • Ms小鼠
  • Rt大鼠
  • Dm果蝇
  • C线虫
  • Mk
  • Rb
  • B
  • D
  • P
  • Hm仓鼠
  • ChHm中国仓鼠
  • Chk
;

联系我们

Location :

南京市高新开发区星火路10号人才大厦C座

Phone :

400-9961-933
025-58868422

Email Address

info@sabbiotech.com