免费电话:400-9961-933
邮箱:info@sabbiotech.com
欢迎光临本站
川博智能体 English
位置: 首页 > 多克隆抗体 > RAB24 Antibody

RAB24 Antibody #37859

是否有货: 有货
产品详情

产品名称RAB24 Antibody

来源种属Rabbit

克隆性Polyclonal

纯化Antigen affinity purification.

应用IHC

种属反应性Human;Mouse

特异性The antibody detects endogenous levels of total RAB24 protein.

免疫原类型Peptide

免疫原描述Synthetic peptide corresponding to a region derived from internal residues of human RAB24, member RAS oncogene family

基因/蛋白名称RAB24

标记Unconjugated

别名RAB24; RAB24 gene product;

数据库入口号Swiss-Prot#: Q969Q5
NCBI Gene ID: 53917
Gene Accssion: NP_001026847/Q969Q5

Uniprot Q969Q5

浓度2.8mg/ml

配方Rabbit IgG in pH7.3 PBS, 0.05% NaN3, 50% Glycerol.

保存Store at -20˚C

应用详情
Immunohistochemistry: 1:50-1:200
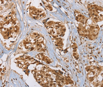
Immunohistochemical analysis of paraffin-embedded Human breast cancer tissue using #37859 at dilution 1/45.
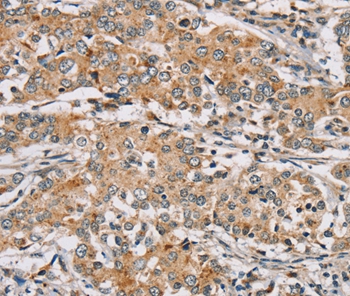
Immunohistochemical analysis of paraffin-embedded Human liver cancer tissue using #37859 at dilution 1/45.
RAB24 is a small GTPase of the Rab subfamily of Ras-related proteins that regulate intracellular protein trafficking. May be involved in autophagy-related processes. Unlike other Rab family members, does not interact with GDP dissociation inhibitors (GDIs), including ARHGDIA and ARHGDIB. Interacts with ZFYVE20.

如果您使用该产品37859发表了文章,请通知我们,让我们可以引用您的文献。

et al,Hepatoprotective effects of Xiaoyao San formula on hepatic steatosis and inflammation via regulating the sex hormones metabolism. In World J Hepatol on 2024 Jul 27 by Xiao-Li Mei , Shu-Yi Wu ,et al..PMID:39086531 , (2024),
PMID: 39086531

注释

应用

  • WB免疫印迹
  • IHC免疫组化
  • IF免疫荧光
  • ICC免疫细胞化学
  • FC流式细胞
  • IP免疫沉淀
  • E酶联免疫吸附法
  • DB免疫斑点法
  • ChIP染色质免疫沉淀
  • GICA胶体金免疫层析法
  • NC阴性对照

种属反应性

  • Hu
  • Ms小鼠
  • Rt大鼠
  • Dm果蝇
  • C线虫
  • Mk
  • Rb
  • B
  • D
  • P
  • Hm仓鼠
  • ChHm中国仓鼠
  • Chk
;

联系我们

Location :

南京市高新开发区星火路10号人才大厦C座

Phone :

400-9961-933
025-58868422

Email Address

info@sabbiotech.com