免费电话:400-9961-933
邮箱:info@sabbiotech.com
欢迎光临本站
川博智能体 English
位置: 首页 > 多克隆抗体 > SCD Antibody

SCD Antibody #37896

是否有货: 有货
产品详情

产品名称SCD Antibody

来源种属Rabbit

克隆性Polyclonal

纯化Antigen affinity purification.

应用WB IHC

种属反应性Human

特异性The antibody detects endogenous levels of total SCD protein.

免疫原类型Peptide

免疫原描述Synthetic peptide corresponding to a region derived from internal residues of human stearoyl-CoA desaturase (delta-9-desaturase)

基因/蛋白名称SCD

标记Unconjugated

别名SCD1; FADS5; SCDOS; MSTP008

数据库入口号Swiss-Prot#: O00767
NCBI Gene ID: 6319
Gene Accssion: NP_005054/O00767

Uniprot O00767

实际分子量42kd

浓度1.1mg/ml

配方Rabbit IgG in pH7.3 PBS, 0.05% NaN3, 50% Glycerol.

保存Store at -20˚C

应用详情
Western blotting: 1:200-1:1000
Immunohistochemistry: 1:10-1:50
Gel: 8%SDS-PAGE
Lysates (from left to right): 293T and lovo cell
Amount of lysate: 40ug per lane
Primary antibody: 1/200 dilution
Secondary antibody dilution: 1/8000
Exposure time: 1 minute
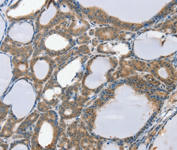
Immunohistochemical analysis of paraffin-embedded Human thyroid cancer tissue using #37896 at dilution 1/20.
This gene encodes an enzyme involved in fatty acid biosynthesis, primarily the synthesis of oleic acid. Transcripts of approximately 3.9 and 5.2 kb, differing only by alternative polyadenlyation signals, have been detected. A gene encoding a similar enzyme is located on chromosome 4 and a pseudogene of this gene is located on chromosome 17.

如果您使用该产品37896发表了文章,请通知我们,让我们可以引用您的文献。

et al,Trichothecin inhibits invasion and metastasis of colon carcinoma associating with SCD-1-mediated metabolite alteration.In Biochim Biophys Acta Mol Cell Biol Lipids. On 2020 Feb; by Liao C, Li M, et al..PMID: 31678511 , (2020),
PMID: 31678511

注释

应用

  • WB免疫印迹
  • IHC免疫组化
  • IF免疫荧光
  • ICC免疫细胞化学
  • FC流式细胞
  • IP免疫沉淀
  • E酶联免疫吸附法
  • DB免疫斑点法
  • ChIP染色质免疫沉淀
  • GICA胶体金免疫层析法
  • NC阴性对照

种属反应性

  • Hu
  • Ms小鼠
  • Rt大鼠
  • Dm果蝇
  • C线虫
  • Mk
  • Rb
  • B
  • D
  • P
  • Hm仓鼠
  • ChHm中国仓鼠
  • Chk
;

联系我们

Location :

南京市高新开发区星火路10号人才大厦C座

Phone :

400-9961-933
025-58868422

Email Address

info@sabbiotech.com