免费电话:400-9961-933
邮箱:info@sabbiotech.com
欢迎光临本站
川博智能体 English
位置: 首页 > 多克隆抗体 > SIGLEC15 Antibody

SIGLEC15 Antibody #37925

是否有货: 有货
产品详情

产品名称SIGLEC15 Antibody

来源种属Rabbit

克隆性Polyclonal

纯化Antigen affinity purification.

应用IHC

种属反应性Human;Mouse

特异性The antibody detects endogenous levels of total SIGLEC15 protein.

免疫原类型Peptide

免疫原描述Synthetic peptide corresponding to a region derived from internal residues of human sialic acid binding Ig-like lectin 15

基因/蛋白名称SIGLEC15

标记Unconjugated

别名CD33L3; HsT1361; SIGLEC-15

数据库入口号Swiss-Prot#: Q6ZMC9
NCBI Gene ID: 284266
Gene Accssion: NP_998767/Q6ZMC9

Uniprot Q6ZMC9

浓度2.1mg/ml

配方Rabbit IgG in pH7.3 PBS, 0.05% NaN3, 50% Glycerol.

保存Store at -20˚C

应用详情
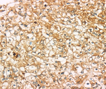
Immunohistochemistry: 1:25-1:100
Immunohistochemical analysis of paraffin-embedded Human tonsil cancer tissue using #37925 at dilution 1/35.
Immunohistochemical analysis of paraffin-embedded Human prostate cancer tissue using #37925 at dilution 1/35.
Siglec-15 (sialic acid binding Ig-like lectin 15), also known as CD33L3, is a 328 amino acid single-pass type I membrane protein that contains one Ig-like C2-type domain and one Ig-like V-type domain. Expressed in dendritic and macrophage cells, Sinlec-15 interacts with DAP10 and DAP12 and binds to sialylated glycoproteins. The gene encoding Siglec-15 maps to human chromosome 18, which houses over 300 protein-coding genes and contains nearly 76 million bases.

如果您使用该产品37925发表了文章,请通知我们,让我们可以引用您的文献。

et al,Metabolic landscape of head and neck squamous cell carcinoma informs a novel kynurenine/Siglec‐15 axis in immune escape. In Cancer Commun (Lond) on 2024 Jun by Xin-Yu Zhang, Jian-Bo Shi,et al..PMID:38734931 , (2024),
PMID: 38734931

注释

应用

  • WB免疫印迹
  • IHC免疫组化
  • IF免疫荧光
  • ICC免疫细胞化学
  • FC流式细胞
  • IP免疫沉淀
  • E酶联免疫吸附法
  • DB免疫斑点法
  • ChIP染色质免疫沉淀
  • GICA胶体金免疫层析法
  • NC阴性对照

种属反应性

  • Hu
  • Ms小鼠
  • Rt大鼠
  • Dm果蝇
  • C线虫
  • Mk
  • Rb
  • B
  • D
  • P
  • Hm仓鼠
  • ChHm中国仓鼠
  • Chk
;

联系我们

Location :

南京市高新开发区星火路10号人才大厦C座

Phone :

400-9961-933
025-58868422

Email Address

info@sabbiotech.com