免费电话:400-9961-933
邮箱:info@sabbiotech.com
欢迎光临本站
川博智能体 English
位置: 首页 > 鼠单克隆抗体 > CD68 Mouse Monoclonal Antibody

CD68 Mouse Monoclonal Antibody #38005

是否有货: 有货
产品详情

产品名称CD68 Mouse Monoclonal Antibody

克隆号6F3

来源种属Mouse

克隆性Monoclonal

纯化Affinity purification using immunogen.

应用IHC,IF

种属反应性Hu Ms Rt

特异性The CD68 antibody detects endogenous CD68 proteins.

基因/蛋白名称CD68

标记Unconjugated

别名CD68; CD68 antigen; CD68 molecule; DKFZp686M18236; Gp110; macrophage antigen CD68

数据库入口号Swiss-Prot#:P34810

Uniprot P34810

实际分子量37kd

浓度1.0mg/ml

配方Mouse IgG1 in phosphate buffered saline (without Mg2+ and Ca2+), pH 7.4, 150mM NaCl, 0.02% sodium azide and 50% glycerol.

保存Store at -20˚C

应用详情

IHC dilution: 1:200

IF dilution:1:50-200

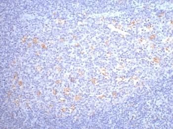
IHC staining of paraffin-embedded Human tonsil tissue CD68 mouse mAb(6F3) diluted at 1:200.
Immunofluorescence analysis of Human-lung-cancer tissue. 1,CD68 Monoclonal Antibody(6F3)(red) was diluted at 1:200(4C,overnight). 2, Cy3 labled Secondary antibody was diluted at 1:300(room temperature, 50min).3, Picture B: DAPI(blue) 10min. Picture A:Target. Picture B: DAPI. Picture C: merge of A+B
Immunohistochemical analysis of paraffin-embedded Mouse-liver tissue. 1,CD68 Monoclonal Antibody(6F3) was diluted at 1:200(4C,overnight). 2, Sodium citrate pH 6.0 was used for antibody retrieval(>98C,20min). 3,Secondary antibody was diluted at 1:200(room tempeRature, 30min). Negative control was used by secondary antibody only.
Immunohistochemical analysis of paraffin-embedded Human-Tonsil tissue. 1,CD68 Monoclonal Antibody(6F3) was diluted at 1:200(4C,overnight). 2, Sodium citrate pH 6.0 was used for antibody retrieval(>98C,20min). 3,Secondary antibody was diluted at 1:200(room tempeRature, 30min). Negative control was used by secondary antibody only.
Immunofluorescence analysis of Mouse-spleen tissue. 1,CD68 Monoclonal Antibody(6F3)(red) was diluted at 1:200(4C,overnight). 2, Cy3 labled Secondary antibody was diluted at 1:300(room temperature, 50min).3, Picture B: DAPI(blue) 10min. Picture A:Target. Picture B: DAPI. Picture C: merge of A+B

The CD68 antigen is a 37kD transmembrane protein that is post-translationally glycosylated to give a protein of 87-115kD. CD68 is specifically expressed by tissue macrophages, Langerhans cells and at low levels by dendritic cells. It could play a role in phagocytic activities of tissue macrophages, both in intracellular lysosomal metabolism and extracellular cell-cell and cell-pathogen interactions. It binds to tissue- and organ-specific lectins or selectins, allowing homing of macrophage subsets to particular sites. Rapid recirculation of CD68 from endosomes and lysosomes to the plasma membrane may allow macrophages to crawl over selectin bearing substrates or other cells.

如果您使用该产品38005发表了文章,请通知我们,让我们可以引用您的文献。

et al,Preliminary Study on the Antigen-Removal from Extracellular Matrix via Different Decellularization. In Tissue Eng Part C Methods on 2022 Jun by Huan Wu, Guangfu Yin, et al..PMID: 35596569 , (2022),
PMID: 35596569
et al,Celecoxib alleviates denervation-induced muscle atrophy by suppressing inflammation and oxidative stress and improving microcirculation. In Biochem Pharmacol on 2022 Sep by Lilei Zhang, Ming Li, et al..PMID:35882305 , (2022),
PMID: 35882305
et al,SERPINB5 is a novel serum diagnostic biomarker for gastric high-grade intraepithelial neoplasia and plays a role in regulation of macrophage phenotypesInTransl OncolOn2023 NovbyXiuhong Huang 1, Xiaoli Xie et al..PMID: 37573714 , (2023),
PMID: 37573714
et al,Celecoxib ameliorates diabetic sarcopenia by inhibiting inflammation, stress response, mitochondrial dysfunction, and subsequent activation of the protein degradation systems. In Front Pharmacol on 2024 Jan 19 by Chunyan Deng, Chunfeng Lu,et al..PMID:38313305 , (2024),
PMID: 38313305
et al,hBMSC-EVs alleviate weightlessness-induced skeletal muscle atrophy by suppressing oxidative stress and inflammation. , (2025),
PMID: 39901193

注释

应用

  • WB免疫印迹
  • IHC免疫组化
  • IF免疫荧光
  • ICC免疫细胞化学
  • FC流式细胞
  • IP免疫沉淀
  • E酶联免疫吸附法
  • DB免疫斑点法
  • ChIP染色质免疫沉淀
  • GICA胶体金免疫层析法
  • NC阴性对照

种属反应性

  • Hu
  • Ms小鼠
  • Rt大鼠
  • Dm果蝇
  • C线虫
  • Mk
  • Rb
  • B
  • D
  • P
  • Hm仓鼠
  • ChHm中国仓鼠
  • Chk
;

联系我们

Location :

南京市高新开发区星火路10号人才大厦C座

Phone :

400-9961-933
025-58868422

Email Address

info@sabbiotech.com