免费电话:400-9961-933
邮箱:info@sabbiotech.com
欢迎光临本站
川博智能体 English
位置: 首页 > 鼠单克隆抗体 > GFAP Mouse Monoclonal Antibody

GFAP Mouse Monoclonal Antibody #38014

是否有货: 有货
产品详情

产品名称GFAP Mouse Monoclonal Antibody

来源种属Mouse

克隆性Monoclonal

纯化The antibody was affinity-purified from mouse ascites by affinity-chromatography using specific immunogen.

应用WB IHC IF

种属反应性Human,Rat,Mouse

特异性The GFAP Mouse Monoclonal antibody detects endogenous GFAP proteins.

基因/蛋白名称GFAP

标记Unconjugated

别名FLJ45472; GFAP; Glial fibrillary acidic protein

数据库入口号Swiss-Prot#:P14136

Uniprot P14136

实际分子量45kd

浓度1.0mg/ml

配方PBS, pH 7.4, containing 0.5%BSA, 0.02% sodium azide as Preservative and 50% Glycerol.

保存Store at -20˚C

应用详情

WB: 1:2000~1:5000

IHC: 1:50-300

IF: 1:100-1:200

 

Western blot analysis of lysates from 1) Rat Brain Tissue, 2)HeLa , 3)A431, 4) PC12 cells, (Green) primary antibody was diluted at 1:1000, 4°over night, secondary antibody was diluted at 1:10000, 37° 1hour. (Red) Tubulin β Polyclonal Antibody antibody was diluted at 1:5000 as loading control, 4° over night,secondary antibody was diluted at 1:10000, 37° 1hour.
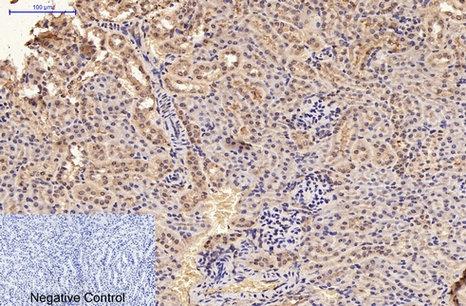
Immunohistochemical analysis of paraffin-embedded Mouse-kidney tissue. 1,GFAP Monoclonal Antibody(5C8) was diluted at 1:200(4°C,overnight). 2, Sodium citrate pH 6.0 was used for antibody retrieval(>98°C,20min). 3,Secondary antibody was diluted at 1:200(room tempeRature, 30min). Negative control was used by secondary antibody only.
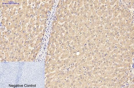
Immunohistochemical analysis of paraffin-embedded Human-liver tissue. 1,GFAP Monoclonal Antibody(5C8) was diluted at 1:200(4°C,overnight). 2, Sodium citrate pH 6.0 was used for antibody retrieval(>98°C,20min). 3,Secondary antibody was diluted at 1:200(room tempeRature, 30min). Negative control was used by secondary antibody only.
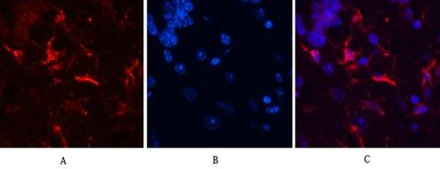
Immunofluorescence analysis of Rat-brain tissue. 1,GFAP Monoclonal Antibody(5C8)(red) was diluted at 1:200(4°C,overnight). 2, Cy3 labled Secondary antibody was diluted at 1:300(room temperature, 50min).3, Picture B: DAPI(blue) 10min. Picture A:Target. Picture B: DAPI. Picture C: merge of A+B
Immunofluorescence analysis of Mouse-brain tissue. 1,GFAP Monoclonal Antibody(5C8)(red) was diluted at 1:200(4°C,overnight). 2, Cy3 labled Secondary antibody was diluted at 1:300(room temperature, 50min).3, Picture B: DAPI(blue) 10min. Picture A:Target. Picture B: DAPI. Picture C: merge of A+B
Immunofluorescence analysis of Hela cell. 1,AR Polyclonal Antibody(red) was diluted at 1:200(4° overnight). GFAP Monoclonal Antibody(5C8)(green) was diluted at 1:200(4° overnight). 2, Goat Anti Rabbit Alexa Fluor 594 was diluted at 1:1000(room temperature, 50min). Goat Anti Mouse Alexa Fluor 488 was diluted at 1:1000(room temperature, 50min).
This gene encodes one of the major intermediate filament proteins of mature astrocytes. It is used as a marker to distinguish astrocytes from other glial cells during development. Mutations in this gene cause Alexander disease, a rare disorder of astrocytes in the central nervous system. Alternative splicing results in multiple transcript variants encoding distinct isoforms. [provided by RefSeq, Oct 2008],

如果您使用该产品38014发表了文章,请通知我们,让我们可以引用您的文献。

et al,Astragalin Alleviates Neuropathic Pain by Suppressing P2X4-Mediated Signaling in the Dorsal Root Ganglia of Rats. In Front Neurosci on 2021 Jan 11 by Mengke Wang, Xia Cai,et al..PMID:33505232 , (2020),
PMID: 33505232
et al,Effects of Porphyromonas gingivalis and Its Underlying Mechanisms on Alzheimer-Like Tau Hyperphosphorylation in Sprague-Dawley Rats. In J Mol Neurosci on 2021 Jan by Zhiqun Tang, Dan Liang,et al..PMID:32557144 , (2021),
PMID: 32557144
et al,Astragalin Alleviates Neuropathic Pain by Suppressing P2X4-Mediated Signaling in the Dorsal Root Ganglia of Rats. In Front Neurosci on 2021 Jan 11 by Mengke Wang, Xia Cai, et al..PMID:33505232 , (2021),
PMID: 33505232
et al,The inhibition of PGAM5 suppresses seizures in a kainate-induced epilepsy model via mitophagy reduction.In Front Mol Neurosci on 2022 Dec 22 by Fuxin Zhong, Yunhao Gan, et al..PMID:36618822 , (2022),
PMID: 36618822
et al,Amiloride alleviates morphine tolerance by suppressing ASIC3-dependent neuroinflammation in the spinal cord. In Eur J Pharmacol on 2024 Jan 15 by Liba Gei, Yan Yan,et al..PMID:37918499 , (2024),
PMID: 37918499
et al,Artemisinin alleviates astrocyte overactivation and neuroinflammation by modulating the IRE1/NF-κB signaling pathway in in vitro and in vivo Alzheimer's disease models. , (2025),
PMID: 39826816

注释

应用

  • WB免疫印迹
  • IHC免疫组化
  • IF免疫荧光
  • ICC免疫细胞化学
  • FC流式细胞
  • IP免疫沉淀
  • E酶联免疫吸附法
  • DB免疫斑点法
  • ChIP染色质免疫沉淀
  • GICA胶体金免疫层析法
  • NC阴性对照

种属反应性

  • Hu
  • Ms小鼠
  • Rt大鼠
  • Dm果蝇
  • C线虫
  • Mk
  • Rb
  • B
  • D
  • P
  • Hm仓鼠
  • ChHm中国仓鼠
  • Chk
;

联系我们

Location :

南京市高新开发区星火路10号人才大厦C座

Phone :

400-9961-933
025-58868422

Email Address

info@sabbiotech.com