免费电话:400-9961-933
邮箱:info@sabbiotech.com
欢迎光临本站
川博智能体 English
位置: 首页 > 鼠单克隆抗体 > Ki 67 Mouse Monoclonal Antibody

Ki 67 Mouse Monoclonal Antibody #38019

是否有货: 有货
产品详情

产品名称Ki 67 Mouse Monoclonal Antibody

克隆号4A8

来源种属Mouse

克隆性Monoclonal

纯化Affinity purification using immunogen.

应用IHC

种属反应性Hu

特异性The Ki 67 Mouse Monoclonal antibody detects endogenous Ki 67 protein.s

基因/蛋白名称Ki 67

标记Unconjugated

别名antigen identified by monoclonal antibody Ki-67; Antigen KI-67; KI67; KIA; MKI67

数据库入口号Swiss-Prot#:P46013

Uniprot P46013

浓度1.0mg/ml

配方PBS, pH 7.4, containing 0.5%BSA, 0.02% sodium azide as Preservative and 50% Glycerol.

保存Store at -20˚C

应用详情

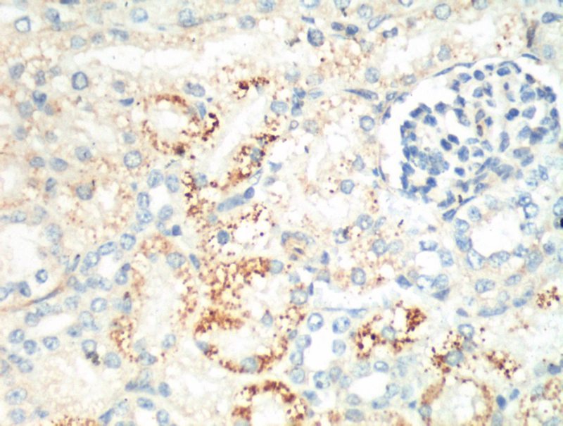
Immunohistochemistry: 1:200

IHC staining of Mouse Kidney tissue with Ki 67 mouse mAb(4A8) diluted at 1:200.

KI-67 is a nuclear protein that is associated with and may be necessary for cellular proliferation. Furthermore it is associated with ribosomal RNA transcription. Inactivation of antigen KI-67 leads to inhibition of ribosomal RNA synthesis. The Ki-67 protein (also known as MKI67) is a cellular marker for proliferation. It is strictly associated with cell proliferation. During interphase, the Ki-67 antigen can be exclusively detected within the cell nucleus, whereas in mitosis most of the protein is relocated to the surface of the chromosomes. Ki-67 protein is present during all active phases of the cell cycle (G1, S, G2, and mitosis), but is absent from resting cells (G0).

如果您使用该产品38019发表了文章,请通知我们,让我们可以引用您的文献。

et al,Glycogen Phosphorylase B Is Regulated by miR101-3p and Promotes Hepatocellular Carcinoma Tumorigenesis. In Front Cell Dev Biol on 2020 Nov 25 by Guangying Cui, Huifen Wang, et al..PMID:33324633 , (2020),
PMID: 33324633
et al,Circular RNA circPPM1F modulates M1 macrophage activation and pancreatic islet inflammation in type 1 diabetes mellitus. In Theranostics on 2020 Aug 29 by Caiyan Zhang, Xiao Han, et al..PMID:33042261 , (2020),
PMID: 33042261
et al,NAP1L1 interacts with hepatoma-derived growth factor to recruit c-Jun inducing breast cancer growth. In Cancer Cell Int on 2021 Nov 13 by Shu Liu, Yewei Zhang, et al..PMID:34774047 , (2021),
PMID: 34774047
et al,Supplementing a specific synbiotic suppressed the incidence of AOM/DSS-induced colorectal cancer in mice In iScienceOn2023 May 28byHuixia Wu , Zhengchun Wu et al..PMID:37378327 , (2023),
PMID: 37378327
et al,Application of MRI-Based Radiomics in Preoperative Prediction of NF2 Alteration in Intracranial Meningiomas , (2022),
PMID: 36267986

注释

应用

  • WB免疫印迹
  • IHC免疫组化
  • IF免疫荧光
  • ICC免疫细胞化学
  • FC流式细胞
  • IP免疫沉淀
  • E酶联免疫吸附法
  • DB免疫斑点法
  • ChIP染色质免疫沉淀
  • GICA胶体金免疫层析法
  • NC阴性对照

种属反应性

  • Hu
  • Ms小鼠
  • Rt大鼠
  • Dm果蝇
  • C线虫
  • Mk
  • Rb
  • B
  • D
  • P
  • Hm仓鼠
  • ChHm中国仓鼠
  • Chk
;

联系我们

Location :

南京市高新开发区星火路10号人才大厦C座

Phone :

400-9961-933
025-58868422

Email Address

info@sabbiotech.com